打开应用

肠阿米巴病1例

彭医师   晋宁区妇幼保健中心
阿米巴病 阿米巴病

主诉 病史

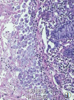
患者男性,20 岁,反复腹泻半年,加重 2周伴少量脓血。体检:肝、脾肋下未触及,全腹无压痛,无包块,无肌紧张,肠鸣音正常,双下肢不肿。实验室检查:大便常规 +OB:OB(±);大便培养+药敏:未培养出病菌;余均正常。B 超:肝、胆、脾、胰正常。病理标本来自肠镜活检组织,经 10% 中性福尔马林固定,常规脱水,石蜡包埋。4μm 厚切片,HE 染色,光镜观察。

发布于 15-01-29 20:58

2 个评论

发送