下载或打开 医联APP 查看完整评论
立即下载
打开APP
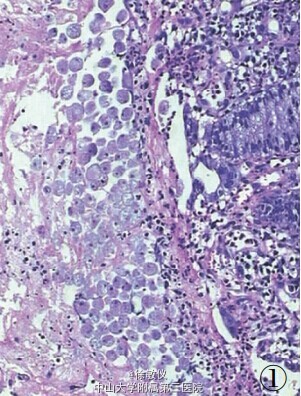
20岁男性,反复腹泻半年,加重2周伴少量脓血。 体检:肝、脾肋下未触及,全腹无压痛,无包块,无肌紧张,肠 鸣音正常,双下肢不肿。实验室检查:大便隐血(+);大便培养 +药敏:未培养出病菌;余均正常。肠镜:距肛缘10cm 以下直肠黏膜充血,水肿,散在多发浅溃疡。取直肠组织活检病理示:直肠黏膜固有层充血、水肿,伴淋巴细胞、浆细胞、中性粒细胞以及嗜酸性粒细胞等急慢性炎细胞浸润,并见淋巴滤泡形成,部分腺体杯状细胞减少,局部表面上皮脱落,糜烂面附有炎性渗出物及成片的大滋养体,滋养体内见一大核仁,胞质内有吞噬红细胞现象。病理诊断:直肠阿米巴病。患者住院8天,给予甲硝唑、大蒜素等药物抗阿米巴治疗后痊愈出院,痊愈后1年,随访无复发。

