下载或打开 医联APP 查看完整评论
立即下载
打开APP
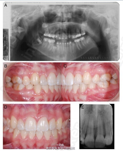
该患者为未成年女性,13 岁,因牙列不齐,影响美观要求正畸治疗。通过对患者的临床检查和曲面断层照片检查,发现患者上颌 15、22、25、35 牙齿尚未发育完全,12 牙齿发育过小;咬合关系和上下颌骨关系正常(图 1)。 根据患者的具体情况,制定详细的治疗计划。首先应用固定矫治器将 14 和 24 移向远中(图 2 A-D),13 随后萌出。21 和 23 之间的空间也被打开。依据 CT 三维影像确定移植位点牙齿的准确数据,考虑到 45 的大小、牙根的发育程度等情况,选择将 45 拔出后移植至 22 的位置。手术预备移植位点的牙槽窝 (图 2E,F)。 拔出 45,移植入预备好的 22 牙槽窝(图 3A-F)。缝合伤口,术后用树脂将 45 与邻牙固定两个月,四个月后开始移动 45(图 3G,H)。 该病例整个治疗过程持续 32 个月,治疗结束时临床和影像学检查显示,移植的前磨牙外形美观,牙根发育已完成,根管也已完全闭锁,预后良好(图 4A-E)。



