打开应用

分享病例:颈椎巨大脂肪瘤 1 例

黄医师   中山大学孙逸仙纪念医院
脂肪瘤

主诉 病史

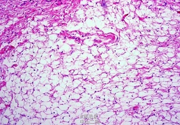
患者女性,53 岁,左侧颈部出现无痛性肿块(缓慢增大),体重无明显减轻,无发热及颈部挫伤史。颈部 CT 增强扫描 .可见一个巨大的、界限清楚的低密度影团块,由咽后部向纵隔扩展。团块内无增强效应,无钙化。HE 染色证实为脂肪瘤。

发布于 15-01-20 18:21

1 个评论

发送