下载或打开 医联APP 查看完整评论
立即下载
打开APP
打开应用
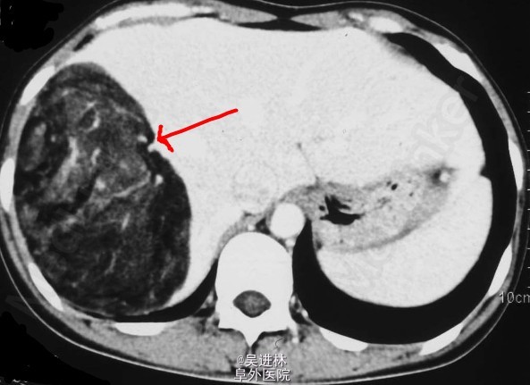
肝巨大脂肪瘤
吴医师
中国医学科学院阜外医院
脂肪瘤
主诉 病史
患者男,56岁,体检B超发现肝区巨大占位就诊。手术病理提示肝脏脂肪瘤。本病罕见。
发布于 15-03-10 16:51
医联推荐你看
脂肪瘤?
脂肪瘤
脂肪瘤?
共
1
个评论
查看更多评论
发送
0