下载或打开 医联APP 查看完整评论
立即下载
打开APP
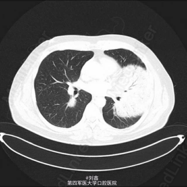
患者,男性,54 岁,6 周前因轻度呼吸困难、全身不适伴干咳被诊断为社区获得性肺炎,经对症治疗后无好转。目前考虑为不吸收性肺炎。病程中患者曾有三次轻度咳血,但无体重减轻、发热或任何其他全身症状。患者不吸烟,有高脂血症,现正接受降脂治疗。 该患者的一般临床检查未发现异常,KPS 80 分。体格检查在左下肺区闻及啰音和支气管呼吸音。 数次胸片检查均提示有左下肺浸润影,且经治疗后无改变。胸部 CT 提示左肺下叶有广泛实变,相对应的右肺下叶上段有实变病灶。血像检查未发现异常改变。

