下载或打开 医联APP 查看完整评论
立即下载
打开APP
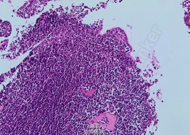
稀罕病例,大家一起来学习下!粘膜相关淋巴组织(MALT)淋巴瘤多见于胃部,而原发性肺 MALT 淋巴瘤十分罕见。来自南非开普敦 Sellenbosch 大学和 Tygerberg 医院呼吸科、血液科、病理科的数名学者近期在 Chest 杂志上报道了这样一例患者。 MALT 淋巴瘤有着较好的转归,5 年生存率达到 85% 以上,一般生存时间可超过 10 年。不像其他大多数肿瘤,即使在诊断时已有转移,也不会影响其预后或生存率。详见:http://journal.publications.chestnet.org/article.aspx?articleID=1900893

