下载或打开 医联APP 查看完整评论
立即下载
打开APP
打开应用
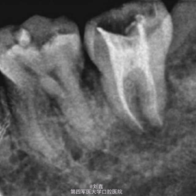
经典案例 当种植术遇上阻生牙移植
张医师
空军军医大学口腔医学院
主诉 病史
患者男,27岁,37牙残根,38牙阻生。患者不接受种植治疗,遂行阻生牙移植术。
发布于 15-01-06 22:48
医联推荐你看
胚胎移植术
经典案例:皮瓣+再植
牙瘤致阻生牙移植一例
共
14
个评论
查看更多评论
发送
0