打开应用

COPD艺术照

宋医师   四川大学华西医院

主诉 病史

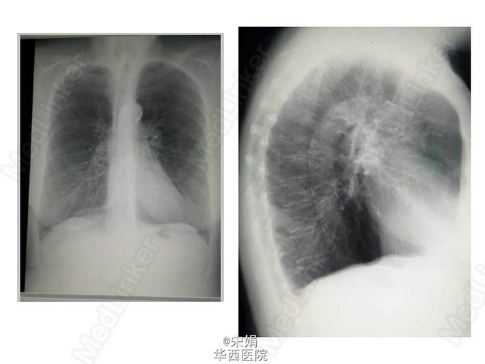
COPD病人 X线典型表现是肺过度充气,可见肺容积增加,肋骨走向变平,肺野透亮度增高。横隔位置低平,心脏悬垂狭长。这个病人的侧位胸片竟然可以清晰的看到主动脉和主动脉弓!

发布于 15-01-03 23:40

2 个评论

发送