打开应用

浅表性基底细胞癌一例

唐医师   成都高新怡禾综合门诊部
基底细胞癌

主诉 病史

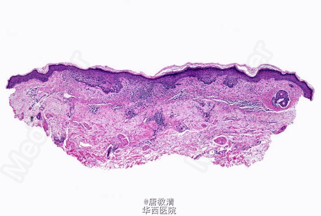
患者女,表现为颈部红斑,病理证实浅表性基底细胞癌 本以为是普通的良性、炎症性皮肤病,比如湿疹、神经性皮炎、接触性皮炎之类的… 此病例提示:1.人的经验有限,一定得多多思考、多多积累;2.临床诊断困难时,一定要做病理,辅助诊断。

发布于 14-12-19 14:46

2 个评论

发送