下载或打开 医联APP 查看完整评论
立即下载
打开APP
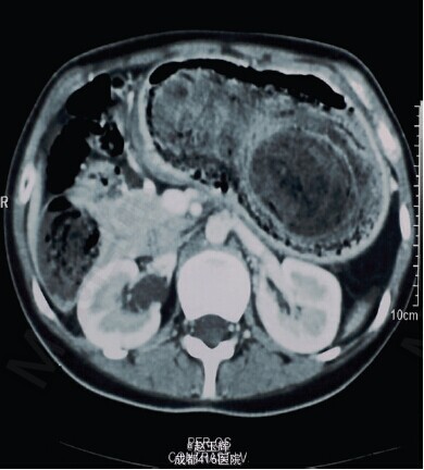
15 岁女性,从 5 岁开始有吞食自己头发的习惯,最近 2 个月出现食欲减退和中度体重减轻就诊;患者有间断性腹部疼痛和餐后呕吐加重,入院常规检查发现贫血,腹部触及上腹部到脐周的质硬肿物和肠鸣音亢进。超声提示胃内的巨大异物,CT 提示胃内的巨大低密度、不均质影,呈网状,胃镜证实异物为毛发结石。 遂行剖腹手术,在膨胀的胃前壁纵行切开,取出异物。术中见胃石突出延伸到近端十二指肠和约 1cm 的空肠。毛发胃石重 1023g,大小约 25cm×11cm×6cm。 取出胃石后,发现幽门前壁溃疡。缝合胃壁后行胃镜检查,确认胃石的完整移除和有无其他异常。术后第 5 天 CT 正常,无并发症,随后出院并建议精神科治疗。 拉庞泽尔氏综合征(Rapunzel Syndrome) 1986 年由 Vaughan Jr 等首先描述:拔毛癖患者形成的毛发胃石进入小肠。通常表现为腹痛、呕吐、恶心、营养不良、吐血、腹泻、便秘。此疾病通常表现为胃的呕吐或者吸收障碍相关的症状。据 Naik 等的研究称症状最多见的为腹痛(37%),恶心呕吐(25.9%),腹膜炎(7.4%),厌食、呕血、肠套叠(7.4%);治疗包括腹腔镜或剖腹探查取出结石,剖腹探查的术式因成功率高、并发症少等成为首选,为了减少复发,患者应该在手术后接受精神科治疗及长期随访。Athanasiou A, Michalinos A,et al.Case Rep Med. 2014;2014:267319. Epub 2014 Nov 6.全文链接:http://www.hindawi.com/journals/crim/2014/267319/



