打开应用

毛发红糠疹

何助教   成都市第二人民医院
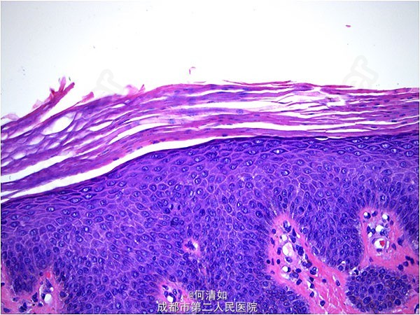
毛发红糠疹

主诉 病史

此病例是一位21岁非洲裔美国女性,弥漫性皮疹为六月。 皮疹逐渐从手臂蔓延到鼻子、脖子和下肢,瘙痒明显。 经病理结合临床,诊断毛发红糠疹。 大家知道如何治疗不?

发布于 14-12-24 00:18

4 个评论

发送