下载或打开 医联APP 查看完整评论
立即下载
打开APP
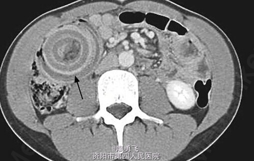
中年男性,突发腹痛6+小时入院,否认既往史,查体全服压痛,右下腹明显反跳痛;辅助检查:全腹部CT可见右下腹同心圆征象,提示肠套叠(忘了采图,附图为之前收集的,不过该病例同样典型),肾周、盆腔大量腹腔积液,不排除肠坏死可能,急诊剖腹探查,腹腔大量淡血性液体,末段回肠套入盲肠,末段回肠、回盲部、升结肠肠管呈紫红色,行右半结肠切除术,术后剖视肠管发现回盲部溃疡型新生物,术后病理提示低分化腺癌。术后病人恢复可,目前已于肿瘤科开始后续治疗。
