下载或打开 医联APP 查看完整评论
立即下载
打开APP
患者,女,33岁,因“腹胀腹痛伴呕吐1天”入院。1天前,患者无诱因出现腹胀,服用马丁灵后出现腹痛,较剧难忍,为钝痛,伴恶心呕吐,呕吐物为清水样。


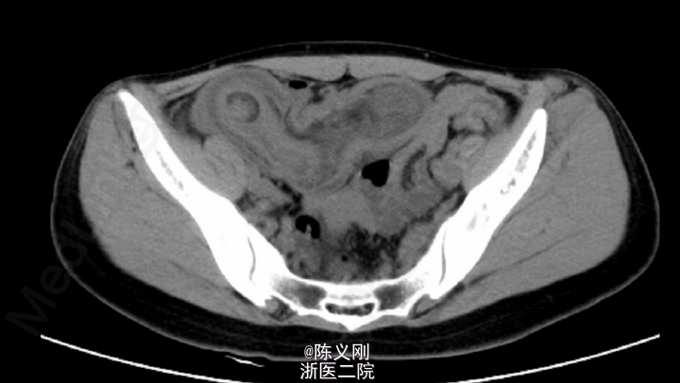
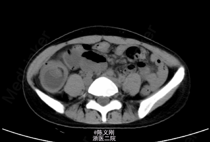
查体:中下腹压痛,右侧为主,无反跳痛,无肌紧张; 腹部平片:右下腹部升结肠、回盲部及部分小肠肠壁明显增厚、水肿,考虑炎症可能大,局部肠管套叠待排。 腹部CT:右下腹部升结肠、回盲部及部分小肠肠壁明显增厚、水肿,局部一段见靶环征。
诊断:肠套叠。 处理:急诊行“肠套叠复位+畸形小肠切除+肠重排+肠固定”,术中见:距回盲部可见长约80cm回肠套入升结肠,近端回肠肠管充血、水肿并扩张,余肠管未见明显穿孔、肿瘤及梗阻。将回肠手法复位后,可见距回盲部约70cm处一长约8cm垂直于回肠的畸形小肠,予以切割闭合器离断畸形小肠,于距回盲部取回肠及升结肠各10cm并排缝合固定。 术后予百定5.0g静滴bid抗感染,余吸氧、心电监护、护胃、化痰、补液等对症支持治疗。注意监测生命体征及腹腔引流情况。
讨论:畸形回肠可触及空腔,末端闭锁处可见一约2.0*1.5*1.5cm圆形光滑黄色膨大增生物,与畸形回肠体部形似男性阴茎。术后病理暂未回报。请大家讨论该畸形小肠来源。