下载或打开 医联APP 查看完整评论
立即下载
打开APP
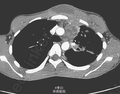
18 岁,男性,既往体健,主因咳嗽 3 月余入院,伴咳淡红色痰、体重下降和发热。近几周其前胸壁出现进展性、局灶性红肿。痰涂片结果为抗酸性染色菌,痰培养结果提示为结核分枝杆菌。HIV 试验呈阴性。患者接受标准抗结核杆菌治疗 8 周,感染仍未控制,表现为红肿加重、皮肤斑疹和皮下脓肿波动。立即给予脓肿切开引流术。逐渐痊愈。Troelsen T, Hilberg O. 2014. Images in clinical medicine. Tuberculous abscess. N Engl J Med. 371(2): 161.


