打开应用

论早期诊断异位尖牙的重要性

徐助教   四川大学华西口腔医院

主诉 病史

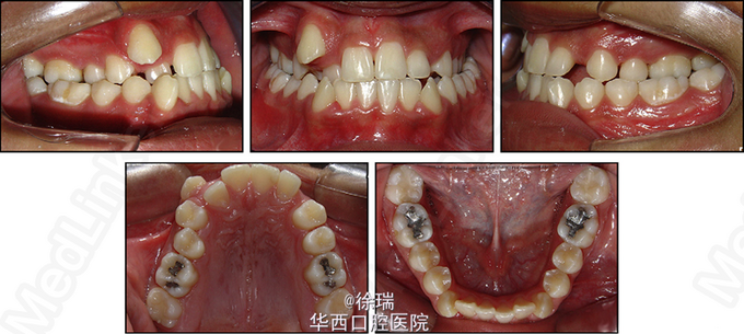
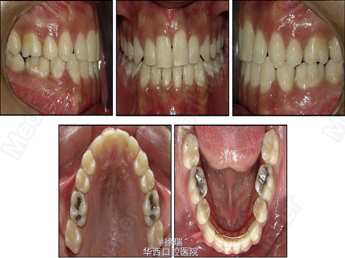
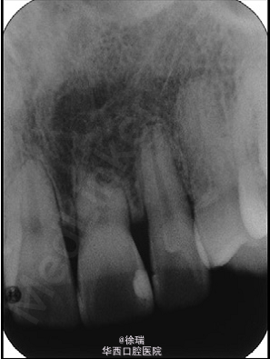
尖牙的异位萌出多见于上颌,可造成相邻牙齿的根尖吸收。最近遇到了一个病例,15岁的女孩儿,安氏III类,上颌尖牙阻生,因为尖牙的位置太过靠近侧切牙和中切牙根方,邻牙发生了严重的根尖吸收。那这样的病情又该如何矫正呢?

发布于 14-11-22 01:04

3 个评论

发送