下载或打开 医联APP 查看完整评论
立即下载
打开APP
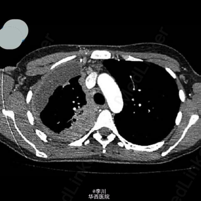
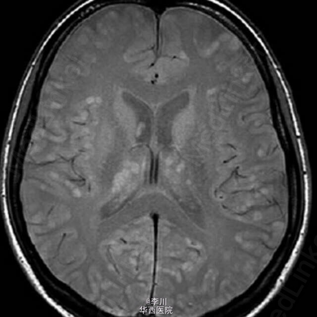
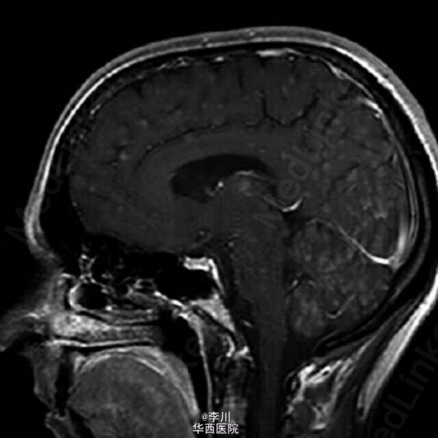
患者女性,38 岁,肺腺癌,年吸烟量 15 包。胸部 CT 表现右上肺脊柱旁肿物。胸膜活检病理证实为乳头状肺腺癌。头颅磁共振显示除灰质外,大脑皮质,基地核和丘脑 粟粒状结节。可以媲美粟粒性肺结核Dziadziuszko K, Szurowska E, Pienkowska J, et al. Miliary Brain Metastases in a Patient with ROS1-Rearranged Lung Adenocarcinoma: A Case Report[J]. Journal of Thoracic Oncology, 2014, 9(5): e34-e36.


