下载或打开 医联APP 查看完整评论
立即下载
打开APP
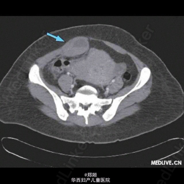
病历资料:女,37岁,右髂窝疼痛3天, 查体:右髂窝部压痛,在骨盆和下腹部可触及一直径为16 cm的肿块。患者无宫颈刺激, 孕检结果为阴性。入院时,血红蛋白105 g/L,白细 胞计数4.93×109/L。有血小板减少症(108×109/L),但在13 d前患者血小板计数还在正常范围内,凝血酶原时间延长至15.1 s。 腹部超声和CT均显示一个巨大球状子宫,子宫壁肌层回声粗糙,提示为子宫内膜异位症。但骨盆-腹部的肿块可能主要是由腹直肌鞘内的机化 血肿引起的。 血清学检测表明患者近期有登革热病毒的感染,患者IgM抗体阳性,IgG抗体阴性。 CT还偶然发现了一个位于左侧股静脉的血栓,多普勒超声显示左侧腿部的广泛性深静脉血栓。血栓形成倾向筛查试验显示蛋白S、蛋白C及抗 凝血酶Ⅲ浓度正常。 诊断:登革热病毒感染后导致的出血 治疗:停用口服避孕药、安置下腔静脉滤过器,推迟5 d进行抗凝治疗以稳定血肿。患者血小板计数恢复正常后,开始终身服用华法林预防性 治疗。采用保守方法治疗血肿,未行引流。 结局:6个月后,患者腹直肌鞘内血肿完全消失。 http://case.medlive.cn/obgyn/case-article/show-40304_207.html
