下载或打开 医联APP 查看完整评论
立即下载
打开APP
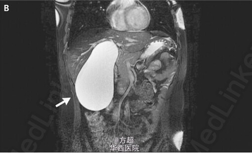
31岁青年女性,因间断发作右上腹疼痛就诊,自诉可于右侧腹部扪及缓慢长大包块;自诉无黄疸、发热、体重下降等情况,肝酶等实验室检查无异常,腹部超声未见异常,腹部MRI提示胆囊扩张17*8cm(如图A、B),但是并未发现胆管结石,胆管外源性受压以及胆管畸形;告知风险后予以腹腔镜下胆囊切除术,术中证实胆囊扩张积水,余无异常发现;术后患者症状逐步缓解。André Brito Queiroz, M.D., and Jocielle Santos de Miranda, M.D.N Engl J Med 2011; 364:e43;原文链接:http://www.nejm.org/doi/full/10.1056/NEJMicm1000943

