打开应用

腹部侵袭性纤维瘤病一例

陈医师   新乡市中心医院
侵蚀性纤维瘤病

主诉 病史

男性,60岁。 因4个月前无意间发现右下腹肿块就诊。无腹痛、腹胀、便秘、腹泻。自觉肿块逐渐增大。实验室检查阴性。

查体 辅查

查体,腹部膨隆,触及一肿块影,质硬,移动度差,无明显压痛,触痛,反跳痛。

诊断 处理

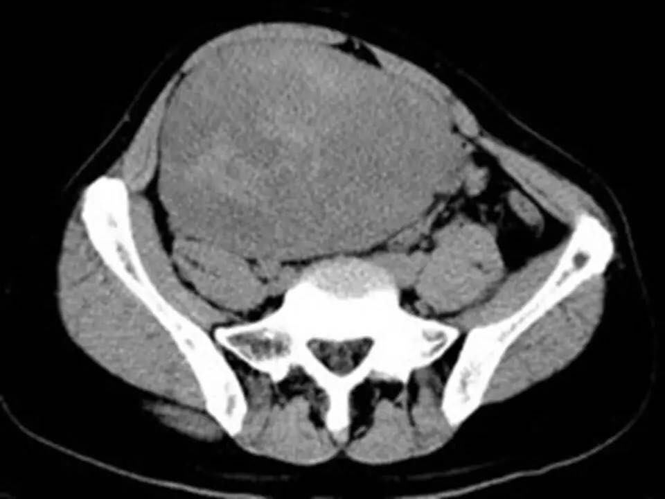
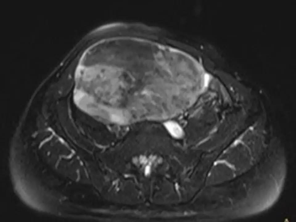
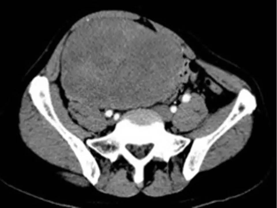
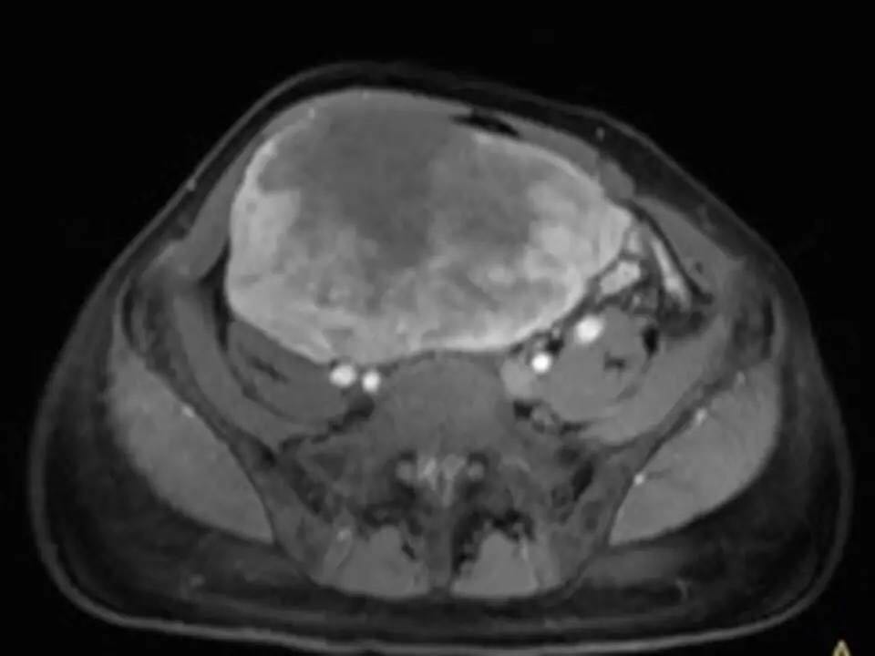
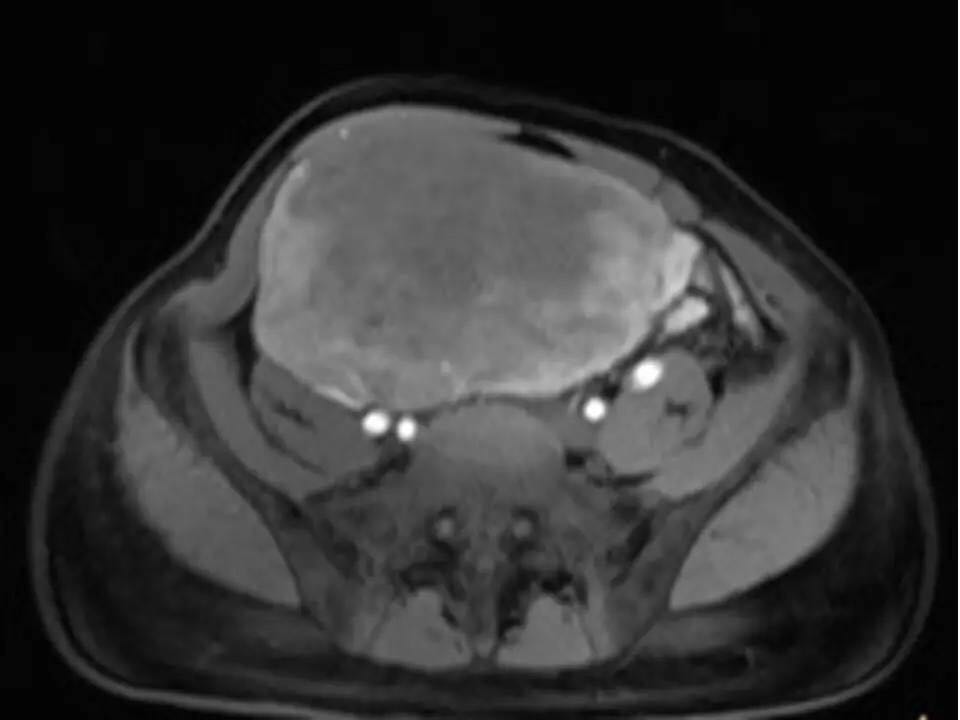
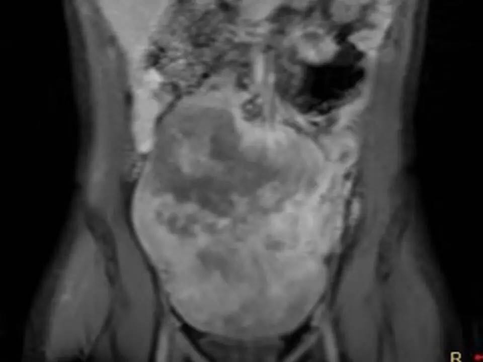
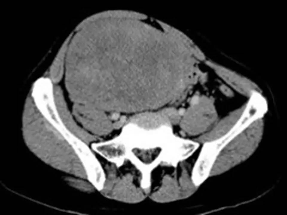
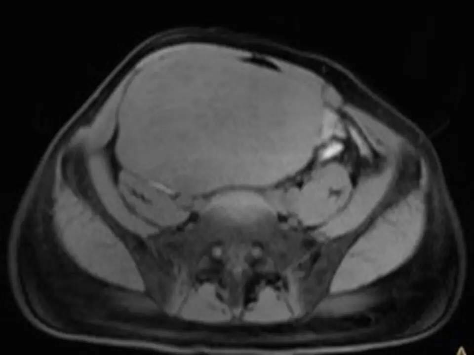
MRI表现,腹盆腔见不均质肿块,与肌肉相比为等低密度,强化不明显。T1WI信号均匀,T2WI高低混杂信号,增强后渐进性强化,病变各序列可见斑片状低信号区。 诊断,腹腔侵袭性纤维瘤病。

随访 讨论

AF的影像学表现具有一定特征性。影像上表现为边界欠清的软组织肿块,钙化、出血少见,即便在较大的肿瘤中也看不到中央性坏死。病灶CT密度欠均匀,与邻近骨骼肌相近,强化不明显。T1WI信号基本均匀,明显或中度强化,典型强化方式呈渐进性。所有序列中都可以看到一定的低信号区,在病理上相对应的为病变内胶原纤维丰富的区域,此区域强化较轻。 侵袭性纤维瘤病虽然少见,但是平常工作中需要考虑到侵袭性纤维瘤病的诊断,尤其是中年女性腹腔的肿块。MRI为最佳的检查方法,可以显示一定的影像学特征。

发布于 18-07-09 12:47

0 个评论

暂无评论
发送