打开应用

以肺炎为表现的肺栓塞一例

陈医师   南京医科大学附属江宁医院
肺栓塞

主诉 病史

一般资料:44岁,女性。 主诉:近一周呼吸急促有所加重;左侧胸膜痛,无放射痛;咳嗽、白痰两天。 现病史:①活动耐力下降,活动10米出现呼吸急促。②近期接受全科医生诊疗,怀疑下呼吸道感染,口服抗生素(阿莫西林-克拉维酸钾)一疗程治疗。③近期从欧洲大陆短时旅行归,但未有其它旅行。 既往史:脑血管意外史,6年,后遗症左侧肢体功能障碍;脑血管意外后曾行颈动脉内膜切除术;高血压;高血脂;哮喘;高胱氨酸尿症。 家族史:无 用药史:无药物过敏;倍氯米松 200mcg吸入TTBD;沙丁胺醇 100mcg 吸入 PRN;氨氯地平 5mg OD;氯吡格雷 75mg OD;雷米普利 2.5mg OD。 社会史:已婚;无业;无吸烟史。

查体 辅查

一般检查:体温37.1℃;心率100次/分,规律;血压180/90mmHg,平卧;呼吸18次/分;SpO2 94%,未吸氧。静息时无不适,双眼睑黄斑瘤,右颈部颈动脉内膜切除术后伤疤可视。 系统检查:①心血管系统:心音正常;颈静脉无怒张;无外周水肿及静脉血栓征象。②呼吸系统:胸廓对等扩张;反响性叩诊音;肺泡呼吸音正常;左肺底啰音。③腹部及乳房检查无异常。 实验室检查:

心电图检查:

窦性心动过速,心率100次/分。无其它异常。 胸片:

诊断 处理

患者胸片显示左基底不透明,患者有呼吸急促加重,胸膜炎性胸痛与此诊断相符。白细胞数量增加,CRP和胸片符合肺炎的诊断。患者胸片也符合肺栓塞诊断。d-二聚体阳性符合肺栓塞诊断,同时d-二聚体升高也可见于很多感染和炎症过程。尽管患者有哮喘史,但目前没有支气管痉挛的证据。胸片不符合肺水肿诊断,同时缺少其他临床证据。胸片未出现气胸症状。患者没有任何免疫功能减弱症状或病史提示有肺孢子虫性肺炎感染风险。 入院继续完善CTPA结果:

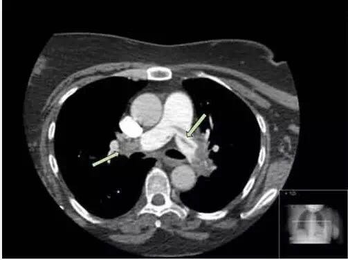
CTPA结果显示双侧肺动脉栓塞(箭头处),左肺动脉远端几乎全部堵塞。肺血管双侧肺叶及肺段分支可见充盈缺损。 诊断:肺栓塞 本例患者我们以华法林开始抗凝治疗,持续给予低分子肝素,直到INR维持2.0-3.0。对潜在促凝血状态的患者应及时给予抗凝治疗以保证他们的生存。

随访 讨论

①对于肺炎与肺栓塞的鉴别诊断是常见的诊断难题。②患者通常要求明确诊断的过程中同时包含基础治疗。③在此病例中,详细的病史采集和临床检查揭示了患者血栓栓塞的潜在原因。④尽管有许多新药可以使用,但对肺栓塞患者的治疗,华法林仍是首要选择。

发布于 17-05-23 11:21

20 个评论

发送