打开应用

肺炎为表现的肺栓塞一例

陈医师   南京医科大学附属江宁医院

主诉 病史

2周前患者因受凉出现咳嗽,咳少量黄黏痰,自诉感发热,未测体温,初无胸痛、胸闷,无咯血、盗汗,自服感冒灵、退热药后自觉好转。1周前患者出现右季肋区疼痛,为持续性钝痛,吸气及咳嗽时加重,仍咳少量黄痰,无胸闷、喘息,遂就诊于我院急诊,查血常规WBC 9.54×109/L, C反应蛋白10.65mg/L;胸部CT提示右下肺磨玻璃样渗出影,诊为社区获得性肺炎,急诊室给予阿奇霉素联合头孢西丁抗感染治疗,病人每日输液后返家,未规律监测体温,1周后复查胸部CT示右下肺病灶较前进展,累及胸膜,少量胸腔积液(见图1),并出现胸痛加重,今为进一步治疗收入我科。

查体 辅查

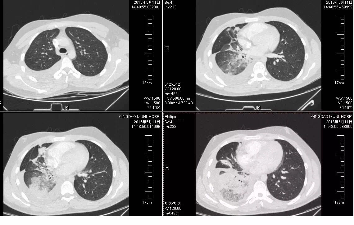
图1 入院查体T: 37.8 ℃,听诊右肺呼吸音低,未闻及干湿性啰音,心率68次/分。 诊断: 社区获得性肺炎,非重症 ; 2.胸膜炎; 3.胸腔积液。 病人青年男性,考虑抗感染力度不够、覆盖不足或结核可能,另外也考虑到我国支原体对阿奇霉素耐药率高的问题,给予磷霉素联合米诺环素抗感染,辅以止咳、化痰等治疗。病人于入院次日晨咳鲜红色血痰10ml,体温升至38.9℃,加用奥司他韦抗病毒,并予云南白药止血对症治疗。同时完善相关检查,降钙素原0.1ng/ml;血常规:WBC 10.78×109/L,C反应蛋白109.60mg/L;D-二聚体定量3.45ug/ml,我院正常值为0---0.5 ug/ml 白蛋白43.28g/L;血沉61.00mm/H; ANA谱及ANCA均未见异常;肺炎支原体抗体阴性;肺炎链球菌抗原定性阴性;24h痰液未找到抗酸杆菌。 此后病人发热、咯血无缓解,PPD试验阴性,行胸腔超声检查,报胸腔积液,液深1.8cm,建议胸腔穿刺、支气管镜检查进一步明确,病人家长均拒绝。考虑病人年少,无持续卧床史,双下肢无水肿,心电图无异常改变,D-二聚体升高考虑感染所致,加用头孢他啶进一步覆盖G-杆菌。病人体温峰值出现下降,咯血、胸痛仍无好转,入院第5天复查血常规:WBC 7.00×109/L,C反应蛋白149.16mg/L;D-二聚体定量3.95ug/ml;肌钙蛋白、BNP正常;血气分析示pH为7.52,PaO2为136mmHg,PaCO2为30.9mmHg(吸氧流量为2L/分);痰培养、血培养均为阴性。 再次评估病情,经较强抗感染治疗患者仍有发热、胸痛、咯血,D-二聚体较前升高,追问病史近期有夜间长时间端坐玩电脑诱因,考虑肺栓塞不能排除,停用云南白药。病人家长初拒绝CTPA检查,完善下肢血管超声未见异常,遂先行超声引导下胸腔穿刺,抽出不凝血,胸水常规:白细胞 1878×106/L,N80%,蛋白定性实验4+;胸水腺苷脱氨酶18.02U/L。再次与病人家长沟通后于入院第6天行CTPA检查,提示右下肺动脉栓塞,右肺片状影及胸腔积液均较前加重(见图2、3)。

图2

图3

诊断 处理

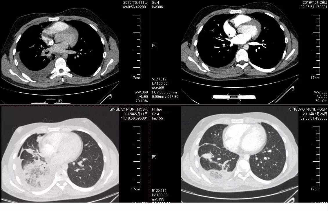
给病人进一步完善心脏超声未见明显异常,确诊低危组肺栓塞合并肺梗死,给予低分子肝素序贯华法林抗凝治疗,病人咯血停止,仍有低热、胸痛,再次给予胸腔穿刺排除感染,考虑吸收热,继续抗凝治疗后病人病情好转出院(见图4)。

图4

随访 讨论

此病人发病早期的症状、体征及血液化验均与社区获得性肺炎表现相符,入院时应归属于对治疗无反应性肺炎,提醒我们应进一步评估,但该患者的低龄,降低了我们对肺栓塞的警惕性,造成了诊断的延迟1,2。复习相关文献,绝大部分肺栓塞在成人阶段发病,而同时发生肺梗死的更为罕见,此患者反复的咯血、胸腔穿刺抽出不凝血、D-二聚体和长时间玩游戏病史(患者为青少年,入院初在家长陪同下隐瞒久坐玩游戏的病史)给我们提供了重要的线索,最终说服患者家长完善CTPA检查确诊肺栓塞。肺的多重供氧、双重血供使其很难发生梗死3,且该病人亦不存在心功能不全、肺淤血等肺梗死的高危因素,故我们考虑病人发病初期不排除合并肺部感染,使患处肺泡通气不足,以致最后发生肺组织出血、坏死。该患者家属无类似病史,抗磷脂抗体阴性,本应进一步完善凝血功能、支气管动脉等相关检查再评价,可惜因病人家长的拒绝未能施行。该病例也再次提醒我们对肺炎的鉴别诊断绝不能掉以轻心,且应随时警惕临床表现多样的肺栓塞4,5。 参考文献 1 Ozsu S,Oztuna F,Bulbul Y,et al.The role of risk factors in delayed diagnosis of pulmonary embolism[J].Am J Emerg Med,2011,29 (1):26-32. 2 Berghaus TM,Thilo C,von Scheidt W,et al.The impact of age on the delay in diagnosis in patients with acute pulmonary embolism[J]. Clin Appl Thromb Hemost,2011,17(6):605-610. 3 李文兵,高德伟,俞森洋,等.肺血栓栓塞与肺梗死形成的临床和病理特征及其相关因素分析.中国呼吸与危重监护杂志,2004;3:2:107-109. 4 Goldhaber SZ,Bounameaux H.Pulmonary embolism and deep vein thrombosis[J].Lancet,2012,379(9828):1835—1846. 5 Hwang HG,Schulman S.Respiratory review of 2013:pulmonary thromboembolism,tuberculosis and respiratory diseases[J].Tuberc Respir Dis,2013,75(3):89-94.

发布于 17-05-04 16:21

11 个评论

发送