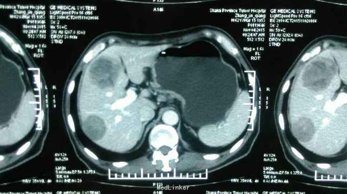
患者:男,62岁,主 诉:残胃癌多发转移化疗后,恶心呕吐5月余。 现病史:患者于2014年9月份自觉进食后上腹部饱胀感,就诊于忻州市人民医院,胃镜提示:胃大部切除术后,吻合口大弯侧粘膜隆起,充血,水肿,伴糜烂,质 脆,易出血,于2014年9月23日就诊于中国医学科学院肿瘤医院,诊断残胃癌,中分化腺癌,全腹部示CT提示:胃远端呈术后改变,吻合口扩张不良,吻合口壁厚,吻合口周围、胃左区新发现多发不均匀结节,大者短径约1.6cm;腹腔肠系膜根部、腹膜后多个小淋巴结;肝脏新出现多发结节,大者直径约1.5cm,考虑转移,盆腔少量积液。于2014年11月15日行XELOX方案化疗一周期,具体用药:奥沙利铂150mg,d1希罗达1500mg早 2000mg晚d1-d10,14天重复一次。后于忻州市人民医院2014年11月至2015年01月给予XELOX 方案化疗全身化疗5周期,化疗第二周期后,患者上腹部饱胀感减轻。于2015年3月12日就诊山西省肿瘤医院,全腹部CT提示胃腔缩小,残胃壁增厚,最后处约1.9cm,,残胃下方系膜内一枚囊性结节,大小约2.9X2.3cm,转移不除外:肝脏S8段一枚低密度灶,大小约为0.6X0.4cm;右肺中叶结节,大小约为1.6X1.4cm,肝脏S8段动脉期环形强化结节,考虑转移,右肺中叶炎性病变,继续给予行XELOX方案化疗2周期(奥沙利铂200mg,卡培他滨1.5g/次,2次/日,共14天)。因骨髓抑制明显,于2015年5月4日入该院后给予卡培他滨化疗一周期(卡培他滨2g/次,2次/日,共计14天)。2015年6月10日入该院复查CT提示肝内多发低密度影,部分新增,右肺中叶局限性肺不张,纵膈内多发小淋巴结,给予更换TP方案化疗一周期(多西他赛120mg,顺铂90mg),治疗结束于6月25日出院。出院后患者间断出现恶心、呕吐,于7月13日入该院复查胸腹部CT:残胃壁局部略变薄;头颅核磁未见异常。患者体质较差,不能耐受化疗,于7月21日始口服阿帕替尼250mg/日治疗。后患者间断出现恶心、呕吐,呕吐物为胃内容物,8月底患者停服阿帕替尼。9月8日入该院复查提示:肝脏多大转移增大,患者恶心、呕吐明显,予以留置鼻饲营养管,行EOF化疗一周期,共计用药:奥沙利铂150mg,表柔比星50mg,氟尿嘧啶3.0g,化疗所致骨髓抑制Ⅱ度。2015-11-02再次入住山西省肿瘤医院给予康莱特静点等对症治疗9天。目前患者每日鼻饲饮食后呕吐7-8次,每次呕吐量约40-50ml左右,全身疲软,精神食欲差,睡眠尚可,大便3-4日一次,较干结,小便基本正常,近3月体重下降约5kg。 既往史:既往患者高血压病史15年余,最高血压达180/100mmHg,平素口服尼福达片1片/日降压治疗,血压控制尚可;2型糖尿病10年余,曾皮下注射诺和灵30R控制血糖,近1月因进食量减少,已停用胰岛素治疗;40年前因“十二指肠穿孔”行胃大部除术;5年前山西医科大学第二医院确诊右半结肠癌行右半结肠切除术;10年前曾行阑尾切除术






中医望、闻、切诊:神志清楚,慢性病容 ,语言清晰,精神差,未闻及异常气味及声音,舌淡红,舌质正常,苔白腻,脉弦滑。 腹平软,上腹部及右中下腹部,右下腹部分别可见长约6cm,15cm及2cm左右的手术切口瘢痕,全腹无压痛,无反跳痛,腹部未扪及包块,肝右肋下、剑突下未及,脾未触及,Murphy征阴性,肝区无叩痛,双肾区无叩痛,移动性浊音阴性,肠鸣音低弱,约2-3次/分。脊柱四肢无异常。生理反射存在,病理反射未引出。 辅助检查 (2015-09-30,山西省肿瘤医院)胃镜检查示:残胃及胃肠吻合口黏膜隆起,表面粗糙,质脆,触之易出血,经导丝导入粗营养管于小肠下20cm,胃镜诊断:胃癌术后复发伴狭窄,反流性食管炎,小肠营养管置入术。
诊断: 中医诊断: 胃癌 痰气交阻 西医诊断:残胃癌 中分化腺癌 浸润型 Lauren分型:肠型 肝转移 胃周 腹腔淋巴结转移 多疗程化疗后 空肠营养管植入术后: 呕吐原因待查 中度贫血 右半结肠癌(术后、化疗后) 2型糖尿病 治疗:入院给予查腹部立位片未见液气平面,给予止吐,输血纠正贫血,营养支持,中医中药扶助正气治疗,行动脉介入化疗药灌注(奥沙利铂150mg+氟尿密啶0.75g),肝转移灶(吡柔比星20mg+碘化油6ml)栓塞治疗。
患者胃大部切除术后残胃癌腹腔多发转移,肝转移行多疗程化疗,进食频繁呕吐,行空肠营养管植入后呕吐症状仍然未见缓解,靠静脉高营养治疗,请大家共同讨论该患者的远期效果及适宜治疗方案!