下载或打开 医联APP 查看完整评论
立即下载
打开APP
发现下颌前突、上颌后缩数年,于13年行正畸治疗。今为进一步治疗来我院就诊,门诊以"下颌前突、上颌后缩"收入院。
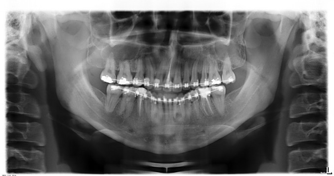
面部发育一般,中线左右对称,上中下比例不协调,上颌后缩,下颌前突,颏顶点正中。左侧颞下颌关节无弹响无疼痛动度正常,右侧颞下颌关节无弹响无疼痛动度正常。张口度4.0cm,开口型正常。上下牙弓关系协调,前牙反合约0.6cm,龋齿无,牙周病无。




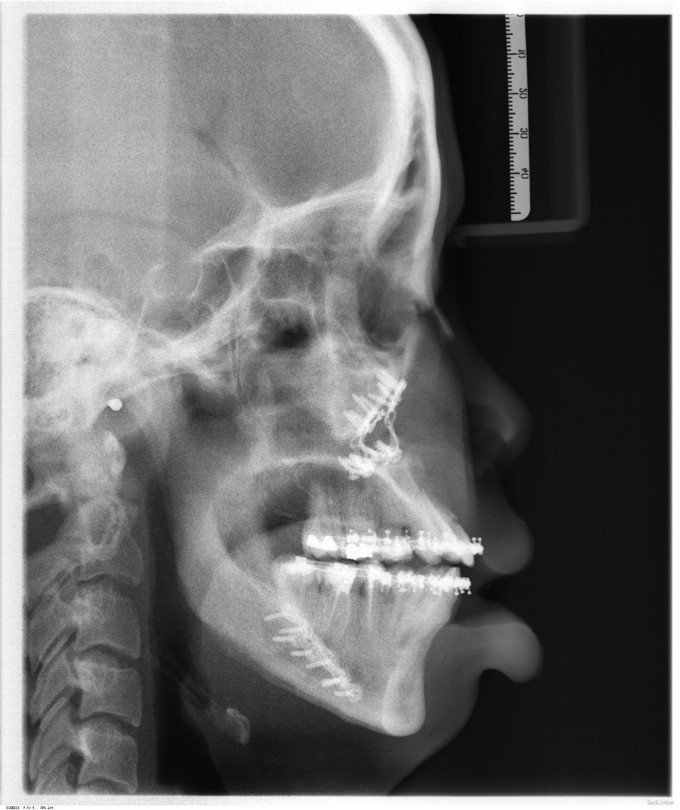
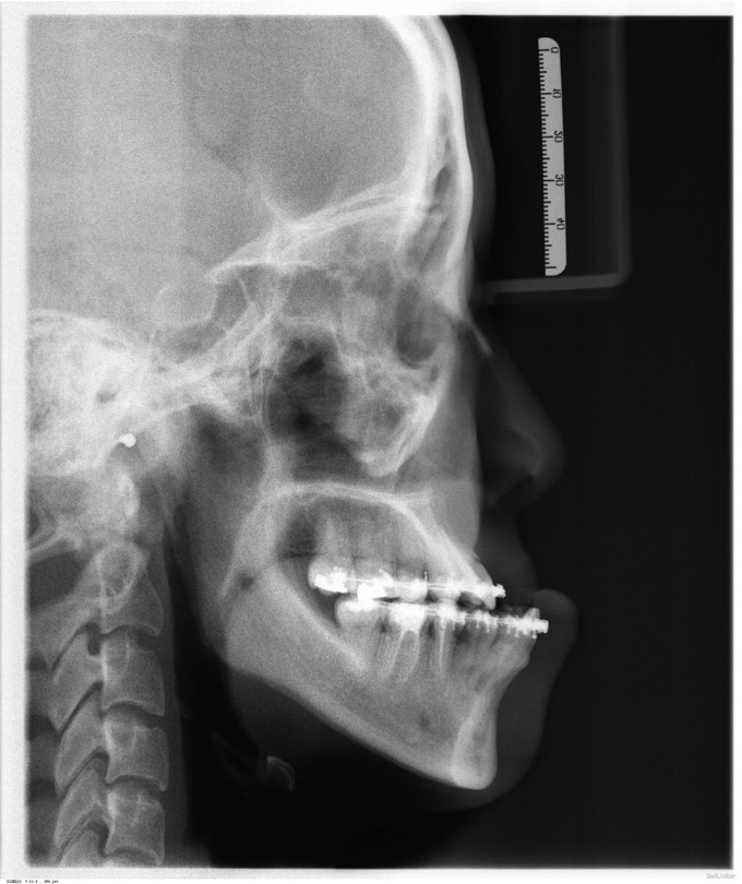
入院诊断:1.下颌前突2.上颌后缩3.偏颌畸形,出院诊断: 1.下颌前突2.上颌后缩3.偏颌畸形4.双侧上颌窦粘液囊肿,全麻下行“上颌LefortI型颌骨前徙术+骨内坚固内固定术+双侧下颌升支矢状劈开后退术+双侧下颌骨去骨皮质术+骨内坚固内固定术+双侧邻近瓣转移修复术+双侧上颌窦粘液囊肿摘除术”
现患者一般情况可,生命体征平稳,切口对位良好,缝线固定在位。经上级医师批准,予今日办理出院