下载或打开 医联APP 查看完整评论
立即下载
打开APP
自觉上颌后缩 ,下颌前突数年。
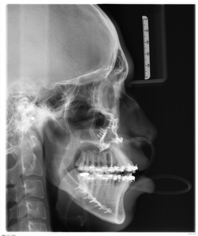
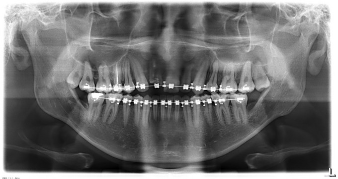
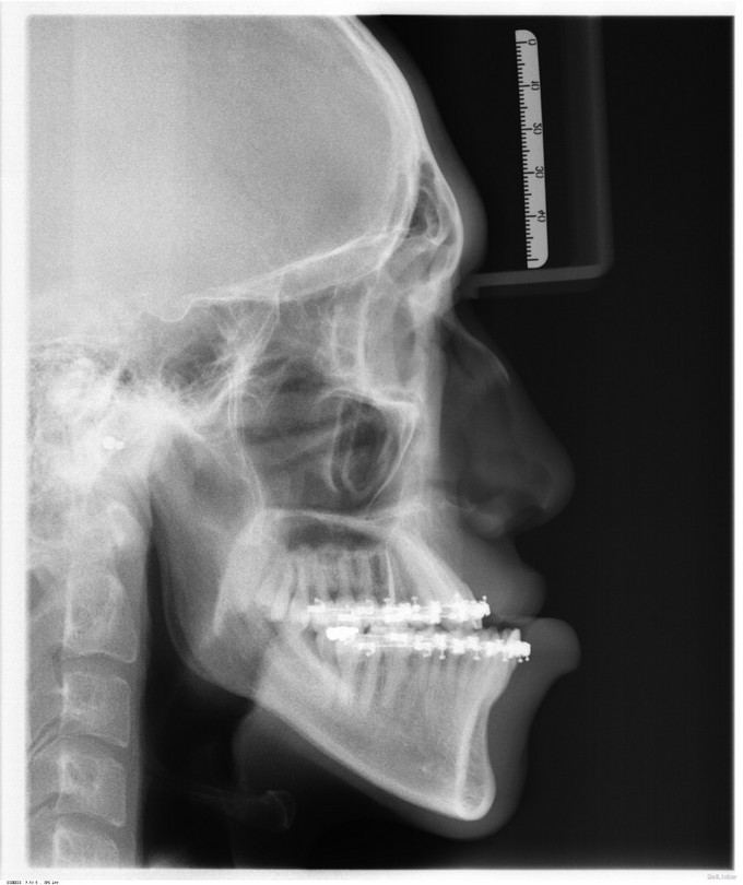
面部发育良好,中线左右对称,上中下比例协调,面下三分一过长前突,颏顶点正中。左侧颞下颌关节无弹响无疼痛动度正常,右侧颞下颌关节开口末期可触及绞索感,无弹响无疼痛动度正常。张口度5.5cm,开口型正常。上下牙弓关系不协调,前牙反牙合后牙近中错牙合,龋齿无,牙周病无。




诊断:1.上颌后缩2.下颌前突,全麻下行上颌LeFortⅠ型截骨前徙术+双侧上颌骨骨内坚固内固定术+双侧下颌骨矢状劈开后退术+去骨皮质术+坚固内固定术+双侧邻近瓣转移修复术。
现患者生命体征平稳,一般情况可,双侧面部轻度肿胀,口内创口缝线固定在位,负压引流管已拔出,咬合可。请示上级医师,同意今日出院