下载或打开 医联APP 查看完整评论
立即下载
打开APP
腹胀2月余。中年女性,2月前患者无明显诱因下出现腹胀,自行服用“消化药物”无效,腹胀渐加重,患者精神、睡眠、饮食一般,体重下降5公斤,大小便尚可。
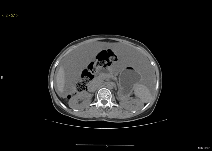
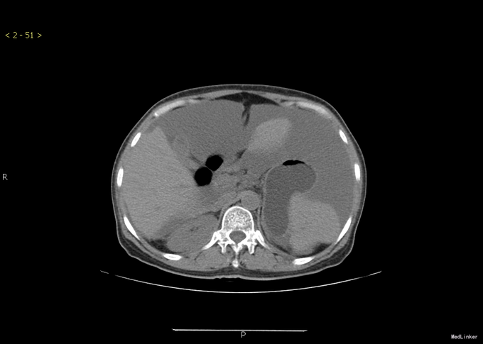
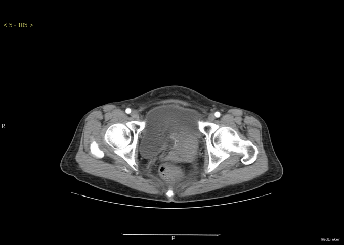
查体:腹部膨隆,腹部张力大,无压痛,无反跳痛,移动性浊音阳性。其余无特殊。 胸部+全腹部CT示:1.胸部增强扫描未见明确异常。2.盆腔底部腹膜明显不规则增厚,右侧附件可见肿块,考虑卵巢肿瘤可能。3.腹盆腔大量积液。



诊断:卵巢钎维瘤合并麦格综合征 治疗:行腹腔积液引流后,腹水未发现肿瘤细胞。后行全子宫双附件切除术。术后病理提示:卵巢纤维瘤。手术顺利。
随访:手术后,腹水无再次出现;腹胀症状缓解。 讨论:麦格综合征指病人患有卵巢纤维瘤伴发胸腔积液及腹水,可为血性。在肿瘤切除之后,胸腔积液和腹水可以相继消失的一组症候群。