主诉: 要求补牙。 病史: 男,52岁。口腔中多牙蛀牙,近日左下后牙疼痛不适,自行放置药棉止痛。经太太兄长(我的好友)所荐,特从广州天河赶来我处就诊,要求全面处理口腔中的蛀牙。 既往史: 潮州人,嗜好烟茶,有看牙史。否认其他全身疾病。 余略。

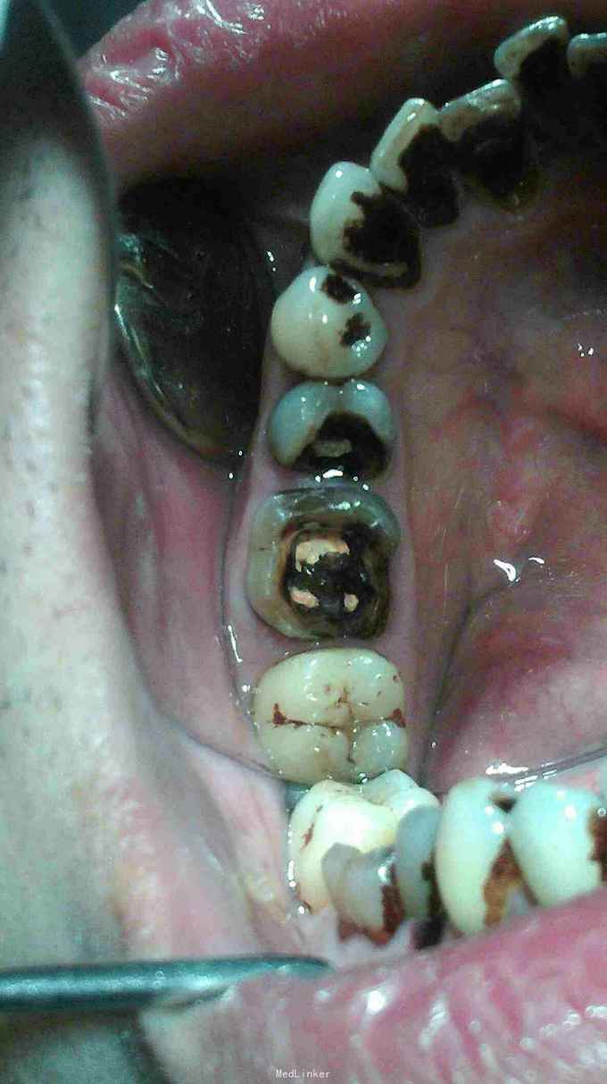
全身检查: 略。 配合度评估: 有看牙史,而且是在广州中山医附属口腔医院这样的三甲专科医院,说明患者对看牙要求不一般。但因工作忙,后期修复没跟上。结合客人初次来我处就诊的神态,初步判断,对看牙有一定的恐惧。 专科检查: 1,检查配合。张口度可,近三度。口腔卫生较差,牙表面见大量烟茶垢。牙周情况可。全口牙排列较整齐。 2,36、45、46残冠,36龋洞内有封棉(客人说,系自己土法止痛),叩(±),松(-)。45、46原暂封物脱落,被烟茶垢覆盖。 3,全景片示,45、46根管治疗效果不错,根尖区无明显异常。


诊断:36、45、47残冠。 治疗方案及临床思路: 1,36因牙根、根分叉、疑似髓底穿和根管炎症状况等,暂缓进行。先行及时修复右侧45、46牙体缺损,及时恢复形态及功能,保护基牙组织。 2,46肯定选用高嵌体修复。牙周评估和基础处理,特别是牙龈水肿或炎性充血,让视野更清晰;去腐及弱壁、尖后,处理和增强缺损和薄弱边缘;填补倒凹,平底,取模,制作高嵌体,粘接(小蜜蜂双固化粘固),延期抛光。 3,45桩冠修复。桩核与嵌体的制作原则、步骤甚至细节处理几完全相同,只是形式不同而已,先桩后冠。没什么特别。







先谈谈感受。有一种感觉,非常奇怪。临床上,某一类病例出现往往是成串成堆集中出现的,好像是某种东西在指使。做树脂修复,一段时间,都是相关的病例出现。甚至做嵌体,桩核,种植等,都一样。 关于本病例。最纠结的是45的桩冠修复。前面提过,该客人是朋友的妹夫,以前在广州看过牙,后来因为时间的原因,没有完成后期的充填或修复。平时,我们是预约制,约的比较满。那天,是加塞的,已经是上午11点多了。拍片,检查,术前各方面评估后,做出46肯定做高嵌的决定。至于45,当时有几种想法,树脂直接充填,也可以,纤维桩后慢慢来,分层复色技术,难度在配色。45做高嵌,也比较适合,因为位置靠前,咬合力不是太大,用瓷也可以,但潮州籍客人的生活习惯,是嗜烟茶如命,似乎没什么必要。后来去腐及薄壁后,反复检查,见剩余牙本质不是太多,尽管被长期含氟较高的茶水“洗礼”后牙釉质的强度没得说。难就难在,这个时候,如何选择弹性模量近似正常牙本质的材料,就成了问题。最后还是选择较把握的桩冠修复。现在想来,这么好的釉质,磨掉了,做全冠,真有点可惜!还得仔细探讨啊。 至于36的修复,如前所述,难度更高,根管和穿底是次要,请外院的高人朋友,可能解决。根分叉呢?先解决了右侧的咀嚼功能先。