下载或打开 医联APP 查看完整评论
立即下载
打开APP
打开应用
21冠折的树脂充填
徐医师
德阳市口腔医院
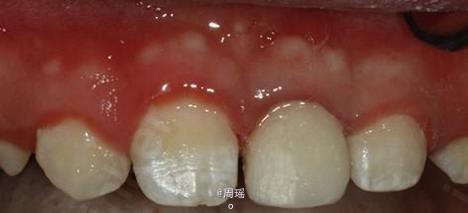
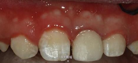
冠折
冠折
主诉 病史
男孩,10岁,7个月前外伤致左上门牙冠折,已于我处行根管治疗,现家长要求修复患牙。平素体质很好,无药物、食物过敏史。
诊断 处理
树脂充填
随访 讨论
效果很好,患者满意。
发布于 15-06-18 23:05
医联推荐你看
树脂充填术
树脂暂充填
树脂充填
共
3
个评论
查看更多评论
发送
0