下载或打开 医联APP 查看完整评论
立即下载
打开APP
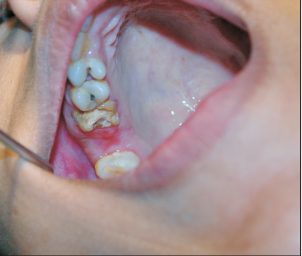
患者因龋坏拔除右上第二磨牙,术前X线片检查确定无根尖周疾病。拔牙术后三天进食出现鼻腔反流。
口内检查发现右上颌第二磨牙处可见4-6mm穿孔


计划用羊膜修复上颌窦穿孔。羊膜供体由接受破腹产的母亲自愿捐赠,已筛除HIV和乙肝表面抗原,并且获得伦理委员会批准。跟患者进行沟通,患者同意利用羊膜进行修复。





羊膜是胎盘的最内层,已经用于眼科、烧伤等领域。目前临床中上颌窦穿孔修补方式较多,包括骨移植、组织瓣移植等,综合考虑,生物材料成为目前的理想治疗方式。羊膜修补穿孔上颌窦能够促进创口愈合,无明显并发症,而且较易获得。较为便利,并且兼顾美学和功能,具有较大的使用前景。 doi:org/10.5125/jkaoms.2015.41.4.194