患者老年男性 主诉:反复咳痰喘20余年,加重伴胸痛1周 病史:患者有慢阻肺病史20余年,1周前受凉后出现阵发性咳嗽、咳痰,痰量多,为黄色及白色黏痰,症状昼轻夜重,有气喘、胸闷,活动后及平卧时明显,可闻及喉间哨鸣音,活动耐量减低,并伴有胸痛,与活动劳累有关,位于心前区,无放射痛,另患者有高血压及冠心病史10年。
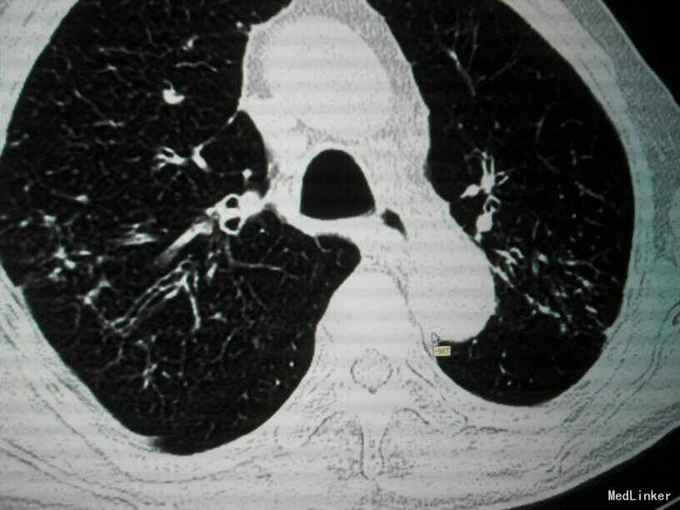
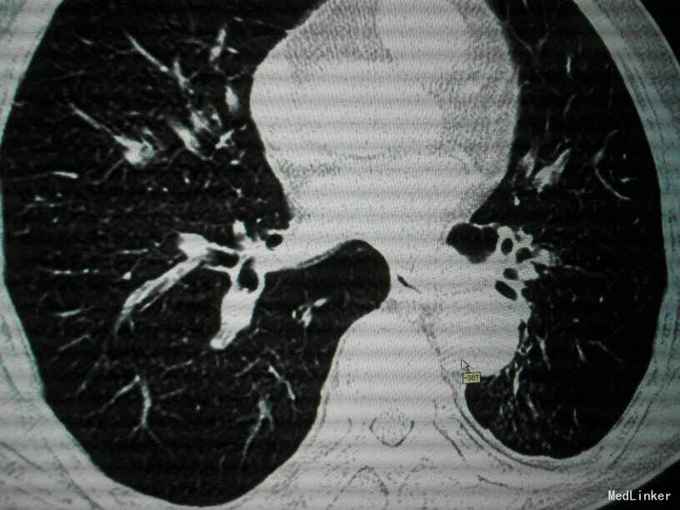
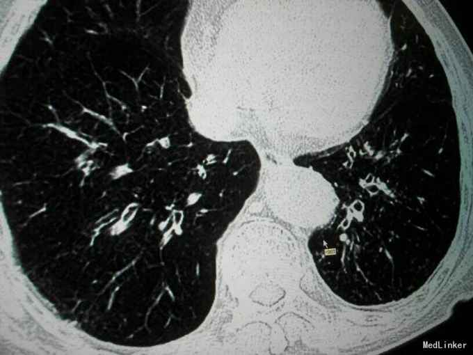
查体:唇指发绀,桶状胸,肋间隙增宽,双肺叩诊呈过清音,双肺呼吸音粗,可闻及散在干湿性啰音,未闻及明显湿性罗音,呼气延长,心腹阴性,双下肢轻度水肿。 辅助检查:入院后血气分析 PH 7.41 PCO2 43mmHg,PO2 73mmHg,BE 2.7mmol/L SO2:96%;心电图:室性早搏;胸片:符合慢支合并双肺炎症;肺CT示1.两肺多发支气管扩张并感染2.两肺间质纤维化,两侧胸膜增厚;心脏彩超:肺动脉压增高,肺动脉略宽;痰培养:肺炎克雷伯杆菌亚种;






诊断:慢阻肺急性发作;支气管扩张并感染;肺间质纤维化;慢性肺心病 治疗经过:抗炎:哌拉西林他唑巴坦;化痰:羧甲司坦口服液+盐酸氨溴索针;解痉平喘:多索茶碱,复方异丙托溴铵雾化溶液+布地奈德雾化混悬剂,雾化吸入;扩冠、减轻心脏负荷:硝酸甘油针;利尿:拖拉塞米针;3日后停硝酸甘油,改单硝酸异山梨酯缓释片口服,后患者出现胸闷、胸痛、气短症状加重,请心内科会诊后,给予呋塞米20㎎,隔日1次口服;螺内酯片20㎎,1日1次;替米沙坦片40㎎ 1日1次;美托洛尔6.25㎎;氯化钾缓释片 0.5g,1日2次;并给予抗血小板聚集、调脂、稳定斑块等治疗;治疗10天后,患者受凉后出现畏寒、发热,侧体温38.1℃,停哌拉西林他唑巴坦,改为盐酸莫西沙星针0.4g,1日1次,其余治疗同前;治疗3天后患者体温恢复正常,偶有咳嗽,咳少量白色黏痰,症状好转,出院。
随访、讨论:随访半个月,患者没有再次出现发热症状,无胸闷气短,偶有咳嗽,自家自行吸氧,病情稳定;慢阻肺是以不完全可逆的气流受限为特征的疾病,患者高龄,有慢阻肺病史多年,并发肺心病,存在多种疾病,心肺基础差,总体预后差;COPD的治疗关键在于预防其复发,避免加重的因素,患者出现肺心病,心功能不全,长期家庭氧疗(LTOT) 对COPD合并慢性呼吸衰竭、心衰患者可提高生活质量和生存率。