患者,男,67岁。因“反复胸闷气促15年余,再发伴双下肢浮肿1月”步行入病房。患者于15年前始出现胸闷,呈憋闷感,持续约数分钟后自行缓解,当时未予重视。后胸闷气促症状反复,性质同前,程度较前加重,到当地医院就诊治疗(具体不详)。自诉平素休息时可出现气促明显。今年5月份曾于我科就诊,诊断“风湿性联合瓣膜病 心房纤颤 心功能Ⅳ级”,予利尿、扩管、强心、疏通循环等治疗后症状好转出院。1月前患者无明显诱因出现胸闷再发,伴气促、心悸,活动后症状加重,休息后可稍缓解,伴夜间阵发性呼吸困难,双下肢浮肿明显,尿量减少。
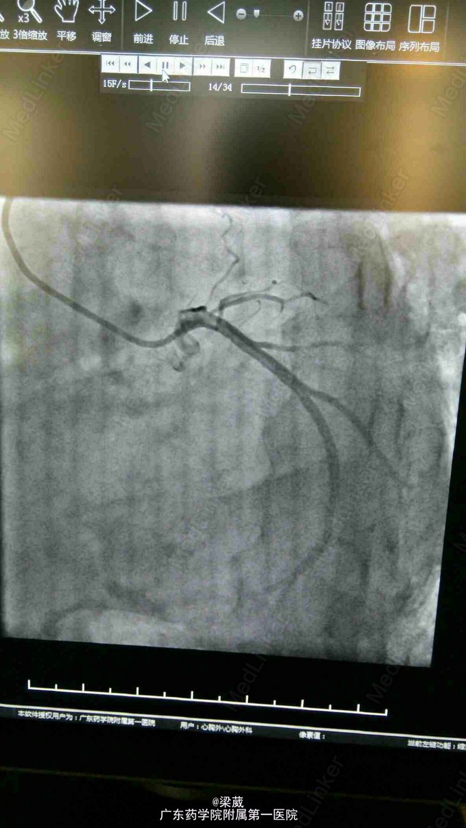
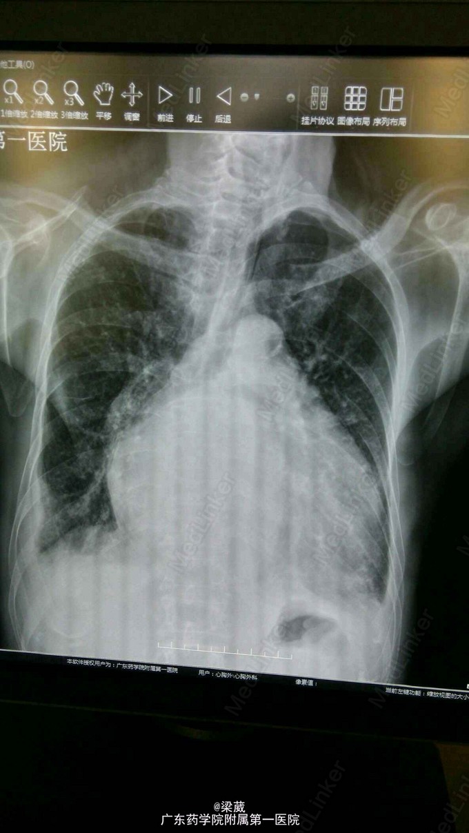
血压:131/65mmHg。神清,呼吸稍促,口唇稍苍白。双侧鼻唇沟对称,伸舌居中。双颈静脉怒张,肝颈征阴性。桶状胸,双肺呼吸音清,双肺底可闻及明显湿罗音。心前区抬举样搏动,剑突下搏动明显,心界左扩,心率121次/分,房颤律,心尖区可闻及5/6级收缩期吹风样杂音及3/6级舒张期隆隆样杂音,向左腋下传导,主动脉瓣第一听诊区可闻及3/6级收缩期喷射样杂音及2/6级舒张期哈气样杂音,三尖瓣听诊区可闻及3/6级收缩期吹风样杂音,向心底部传导,肺动脉瓣听诊区可闻及2/6级收缩期吹风样杂音,P2亢进,未闻S3、S4。腹平软,剑突下及左上腹部可有轻压痛,无反跳痛,余腹无压痛、反跳痛。未触及腹部包块,肝脏肋下2横指可及,脾脏肋下未触及,Murphy 征可疑阳性。双下肢中度浮肿。 辅助检查:肾功(三项):尿素氮 12.990(mmol/L),肌酐 126.000(umol/L);脑钠肽测定:640.700(pg/ml);胸片+颈椎片 1、风湿性心脏病联合瓣膜病变表现。心功能不全合并肺部感染。建议治疗后复查。2、慢性支气管炎、肺气肿改变。右上肺继发性肺结核(纤维化病灶为主)。3、双侧少量胸腔积液。心彩超:心脏超声, 1、二尖瓣狭窄,瓣口面积0.7cm2,伴轻中度二尖瓣反流。2、左房内附壁血栓形成。3、双房右室内径增大,左室舒张末压增高。4、肺动脉高压,肺动脉增宽,伴重度三尖瓣反流。5、少量心包积液。 2015.8.4行CAG检查,结果提示“呈左冠优势型,LAD闭塞,LCX、RCA未见明显狭窄”。







根据患者病史、查体、辅助检查可明确诊断:1.风湿性心脏瓣膜病 (1)风湿性二尖瓣狭窄(中度)伴关闭不全I级 (2)非风湿性三尖瓣关闭不全III级并肺动脉高压 (3)心房纤颤 (4)心功能Ⅳ级;2.冠心病单支血管病变(LAD);3.左房附壁血栓 4.颈动脉硬化;5.糖耐量异常;6.颈椎退行性变;7.胸椎退行性变 8.肾功能异常。入院后予强心、利尿、扩管、疏通循环、营养心肌等治疗,患者心功能及一般情况明显好转。拟行二尖瓣置换术+三尖瓣成形+冠状动脉旁路移植术,患者因顾虑手术风险,自动出院。
对于风湿性心脏瓣膜病变拟行换瓣手术的病人,超过50岁的患者我们常规进行冠状动脉造影检查(有的医院超过45岁即行CAG检查),以排除同时合并冠状动脉病变导致术中出现心脏灌注不足、心肌保护不佳、严重导致心肌梗塞。对于合并节段性冠状动脉狭窄(>75%)的病人同时行冠状动脉搭桥术。 但根据一些文献报道及我们自己的临床经验,风湿性心脏瓣膜病患者合并冠心病的发病几率要小于正常人群的冠心病发病率,所以虽然行CAG检查,但检出率并不高。该病例是一个重症风湿性心脏瓣膜病变患者,病程很长,年龄大,症状重,二、三尖瓣病变及伴左房巨大血栓,心脏明显扩大,CAG显示LAD近端完全闭塞,但通过右冠状动脉造影显示侧支循环代偿良好,通过侧支使LAD远端显影显示血管条件尚好、血管够粗,可行冠状动脉旁路移植术,因此拟行二尖瓣置换术+三尖瓣成形+冠状动脉旁路移植术,该手术程序复杂、时间长,加上患者本身病情严重,对于医生很有挑战性,无论手术成功与否,都能提供很多难得的经验。可惜患者放弃手术治疗。