主诉:体检发现AFP升高2月,发现肝占位6天。 病史:患者63岁男性,2个半月前在当地体检发现AFP260.6ng/ml,门诊B超示肝硬化,因无任何伴随症状,未进一步检查。10天前复查 AFP570.3ng/ml,仍未行处理。遂来我院,门诊增强CT示肝尾装叶占位,肝硬化,脾大,脂肪肝,胆囊切除术后。患者一般情况尚可。3年前体检发现“乙肝病毒感染,肝硬化”,抗乙肝病毒治疗“恩替卡韦”至今。40年前因胆结石行胆囊切除术。长期饮酒史,服药后开始戒酒。无家族病史。
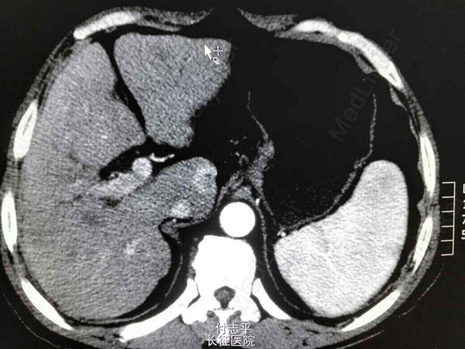
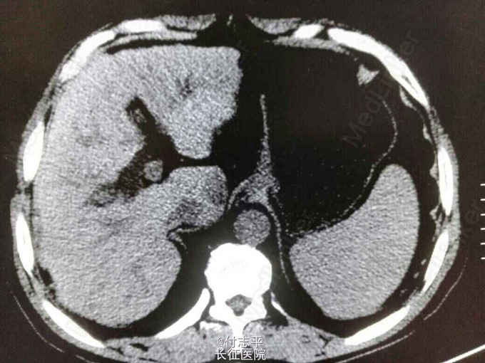
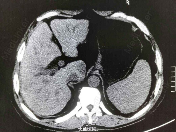
查体:生命体征平稳,皮肤巩膜无黄染, 无肝掌、血管蜘蛛痣、杵状指。腹平坦,未见腹壁静脉曲张、胃肠型及蠕动波;全腹触诊软,未及明显包块,无压痛、反跳痛。肝脾肋下未及,莫菲征阴性(胆囊已切除);肝肾无叩击痛、腹部叩诊鼓音,移动性浊音阴性;肠鸣音活跃,双下肢无水肿。 检查:HBV-DNA<500IU/ml,其余明显阳性结果如下图。







诊断:1.原发性肝癌。2.乙肝后肝硬化。3.胆囊切除术后。 治疗:完善术前检查后预备行肝尾状叶占位微波消融术。术中见小肠、大网膜、与原切口瘢痕和肝脏脏面广泛粘连,仔细分离暴露后见肝脏呈轻中度结节性肝硬化表现,质地较硬;于尾状叶实质内探及2cm质硬肿块,边界不清,周围组织及器官未见明显侵犯。由于肿瘤位置较深,超声探头不好摆放,改行肝尾状叶切除术。

随访:术后恢复情况可,无明显并发症。病理回报肝细胞性肝癌,中分化;包膜侵犯(-),手术切缘 (-),卫星灶 (-),脉管癌栓(+)。 讨论:患者术前检查后拟行术中微波消融术,可是由于多年前的手术治疗造成组织大量粘连,造成了器械操作的困难,遂改行手术完全切除肿瘤。由于肿瘤位置较深,加上肝硬化,较难止血,出血约800ml,风险很大。