下载或打开 医联APP 查看完整评论
立即下载
打开APP
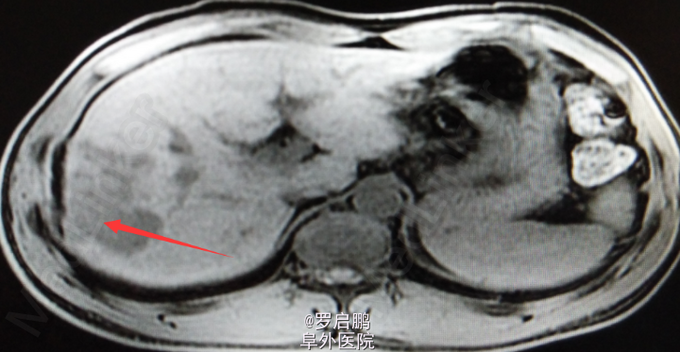
患者 男 48岁 主诉:发现肝脏占位半月 现病史:半月前患者因慢性乙型肝炎复查腹部超声发现右肝占位 既往:慢性乙肝20年,未规律治疗。 个人史:吸烟史25年20支/天,饮酒史13年,白酒2两/次。







超声:右肝高回声光团,胆囊、肝内外胆管、脾脏、双肾未见异常 腹部MRI:肝右叶占位 腹部平扫+增强:肝右叶占位,肝内多发小密度,左肾囊肿,腹膜后淋巴结肿大
肝右叶占位,肝癌? 前入路右半肝切除,LC 鉴别诊断:原发性肝癌;肝转移癌;肝海绵状血管瘤;肝腺瘤;血管平滑肌脂肪瘤。
注意术中循环维持,备血、血浆。术中平稳。术中病理:(右半肝)低分化胆管腺癌,可见坏死,肝内可见多发卫星灶,紧邻肝被膜,切缘未见特殊。术后恢复良好出院。