患者女,76岁,因“持续性胸痛4h”于2012-09-20入院。患者近期因工作压力较大于入院前4h出现胸骨后绞痛,伴轻微胸闷及出汗,无放射痛,无气促、头油等不适,症状持续不缓解来诊。 既往史:高血压病史5年,最高达170/90nnHg,规律口服"左旋氨氯地平",血压控制可;血脂代谢异常病史2年,入院前2个月起服用“普伐他汀”;否认糖尿病、肺部慢性疾病及消化道疾病史;否认吸烟及饮酒嗜好。
查体——体温35.8℃,呼吸20次/分,脉搏73次/分,血压138/70mmHg,体重指数22.3kg/m2。神志清楚,未闻及颈动脉杂音。 双肺呼吸音清,未闻及干湿性啰音。 心界不大,心率73次/分,律齐,心音有力,P2<A2(肺动脉第二心音小于主动脉第二心音),各瓣膜听诊区未闻及杂音。 双下肢无水肿。余查体无异常。 辅查—— 急诊查心电图示:II、III、aVF导联ST段抬高约0.1mv,V3-V6导联ST段抬高0.1-0.3mv(图1),发病后48h心电图示:除aVR及V1导联外,T波深度倒置(图2)。 心肌酶谱均轻度升高。


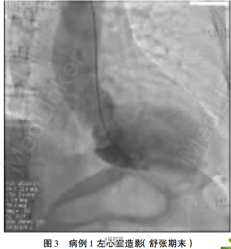
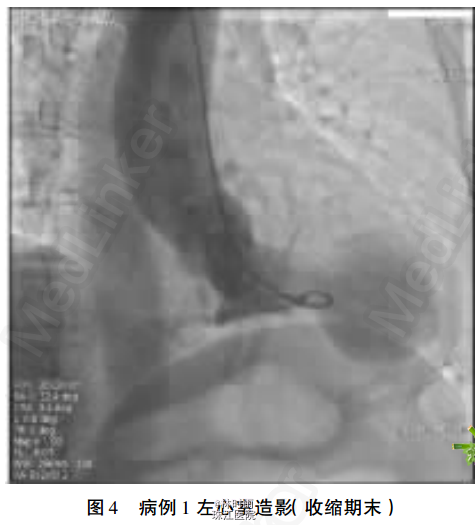
初步诊断——冠心病:急性下壁心肌梗死。(结合患者年龄等多种冠心病危险因素、临床症状及心电图改变,考虑患者冠心病、急性下壁心肌梗死可能)。 处理——患者入院至症状发作4h,故行急诊冠脉造影,结果显示冠脉未见明显狭窄病变,行左心室造影,提示典型心尖球囊样综合征改变(见图3-4)。 住院期间监测患者心肌酶学指标均轻度升高,且酶学峰值不符合心肌梗死特点,肌钙蛋白T(cTnT)于发病72h基本恢复正常水平。另予β阻滞剂治疗。 确定诊断——心尖球囊样综合征。


术后1周复查超声心动图显示左室整体室壁运动协调。心尖球囊样综合征大部分病人发病前有心理或躯体等相关应激因素,而后出现类似急性心肌梗死的临床表现,但冠脉造影无器质性狭窄病变。 符合一支以上冠脉供血区域的室壁运动障碍,因其左室造影收缩期的形态显示底部圆形、颈部细窄呈气球样,故称为心尖球囊样综合征,又称为Tako-Tsubo 综合征、 应激性心肌病及一过性左室功能不全综合征。 日本报道有1%-2%的临床表现与AMI相似的病人最后被确诊为本病,而绝经后女性所占比例较高。 本病预后相对良好,关于其诊断亦无统一标准,有学者总结归纳的诊断标准为: ①主要标准:可逆性左心室心尖部球囊样运动异常伴基底部过度收缩,心电图改变类似于AMI; ②次要标准:情绪等诱发,临床有胸痛、 胸闷等症状,伴有心肌酶学指标升高。本患者为绝经后女,发病前有明确的情绪应激诱因,发作时心电图均表现为下壁、 前壁及侧壁导联的T高尖、ST段抬高,继而多导联T波明显倒置,不符合单一冠脉供血区心肌梗死心电图导联改变;心肌酶谱的动态变化特点亦不同于AMI;1周内左心室心肌运动明显改善。 本研究病例心肌酶升高,但升高峰值相对心肌梗死峰值低,与超声心动图的大面积室壁运动障碍不相符,酶学升高曲线与心肌梗死不同,且 7天后仍未恢复正常,均符合心尖球囊样综合征临床特点。【转载自:《临床和实验医学杂志》2013年3月第12卷第5期,《心尖球囊样综合征2例报告》】