打开应用

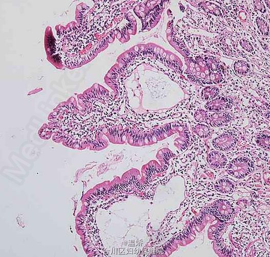
小肠淋巴管扩张症

温医师   重庆市合川区妇幼保健院
小肠淋巴管扩张 肠淋巴管扩张

主诉 病史

患者男性,45岁。因“腹胀、腹泻伴下肢浮肿2个月”入院。

诊断 处理

随访 讨论

综合患者的临床表现、实验室检查、内镜下表现及活检病理结果,诊断为小肠淋巴管扩张症。 给予低脂饮食、补充白蛋白及利尿、补充肠道有益菌等治疗后,患者腹泻症状有所缓解。复查胸部CT示右侧胸腔积液明显减少,右肺尖见一钙化灶,考虑陈旧性肺结核可能。告诉患者该病预后较差,嘱其出院后改善饮食结构,注意补充日常所需能量,加强随访。

发布于 15-06-01 09:40

2 个评论

发送