打开应用

肠淋巴管扩张症与可逆的肝脏高硬度

徐医师   四川大学华西医院
肠淋巴管扩张

主诉 病史

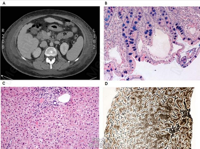
这是发表在Hepotology上的一例case。一位52岁女性表现为慢性双下肢水肿、腹水、少量胸腔积液,最初被误诊为肝硬化。患者既往患有甲减、缺铁性贫血以及骨质疏松。实验室检查:低蛋白血症(33g/L),低白蛋白血症(12g/L),低血清球蛋白(IgG 1.05g/L,IgA 0.41g/L,IgM 0.75g/L)。 腹部超声及CT示肝脏长大伴边缘不规则,中度门静脉扩张,脾大(图1A),子宫直肠陷窝少量积液,双侧胸腔积液。另一方面,瞬时弹力成像示肝脏硬度明显升高(34.8kPa;四分位范围(IQR)4.3kPa;成功率100%),与肝硬化设定吻合。然而病理活检提示正常肝脏,未见纤维化、脂肪变性或炎性细胞浸润(图1C D)。已排除病毒、自身免疫、中毒性肝炎等。 上消化道内镜见十二指肠黏膜散在白色斑点,活检示绒毛淋巴管显著扩张及中度炎性浸润,与原发性小肠淋巴管扩张(PIL)诊断吻合(图1B)。 经一个月PIL治疗的基础:低脂饮食及中链甘油三酯补充,患者浆膜腔积液有所吸收,淋巴水肿得到改善。有趣的是,在随访期间,肝脏的硬度逐渐减低(1、6月后分别降至26.6kPa、14.3kPa;图2)。

发布于 15-03-19 22:36

1 个评论

发送