打开应用

急性胰腺炎后降结肠穿孔一例

杨医师   四川大学华西医院
急性胰腺炎 胰腺炎 急性胰腺炎

主诉 病史

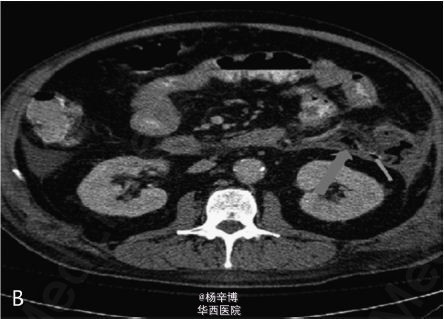
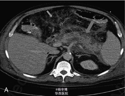
一59岁男性患者以严重腹痛、呕吐急性起病入急诊科,病史提示胆源性胰腺炎。体格检查:T 37.9℃,心率135次/分,呼吸32次/分,血压130/70mmHg,腹部肌紧张,广泛压痛及反跳痛。辅助检查:白细胞计数 24*10^9/L,血清淀粉酶 982IU/L,脂肪酶396IU/L,乳酸 2.2mmol/L,大便隐血阳性。遂诊断急性胰腺炎收入ICU。腹部CT示急性胰腺炎胰周广泛炎症,结肠旁沟游离积液,一钙化胆囊结石,未见胆管扩张或游离气体(图A)。患者症状逐渐加重,后行气管插管。即使给予了广谱抗生素,患者仍持续高热,在住院第11天复查CT示坏死性胰腺炎伴腹膜后近端结肠穿孔,可见肾旁前间隙渗出物及游离气体(图B)。讨论后行开腹探查术。术中见小肠和大网膜广泛粘连包裹降结肠左外侧壁。结肠穿孔位于结肠脾曲及近端降结肠。行粘连松解术及穿孔修补术后,予安置引流管及空肠造瘘,术后患者转入SICU。患者恢复较慢,手术2月后病情缓解出院随访。

发布于 15-02-06 00:23

1 个评论

发送