打开应用不良修复体拆除
口腔科
张医师

空军军医大学口腔医学院
主诉 病史
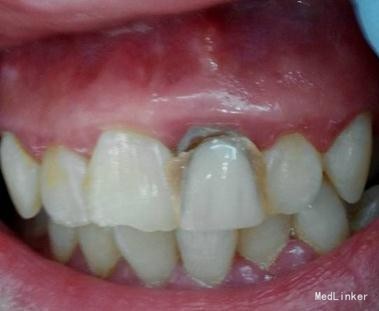
患者女 21岁
主诉:要求拆除多年前的右上假门牙。
现病史:患者自述八年前门牙磕断,在老家诊所修复,今假牙略有松动并发黑,影响美观,因此要求治疗。

查体 复查
检查:21 自凝树脂桩核修复,树脂冠略有松动,叩诊无明显不适,唇侧牙龈有一陈旧性瘘管。
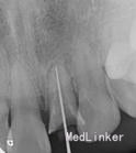
X-ray显示根管治疗不完善。

诊断 治疗
诊断:21不良修复体
治疗方案:方案一:拔除21后种植修复。
方案二:拆除不良修复体,重新治疗后桩冠修复。
患者拒绝拔牙选择方案二
处置:1.拆除不良修复体。
2.一次性根充后临时桩冠修复,观察两周。
3. 树脂核桩冠修复。






随访 处理
以前的核桩大多是磷酸锌粘的,比较好拆
相似病例推荐
拆除不良修复体一例
2016-04-09阅读量:14650
上前牙不良修复体拆除后烤瓷冠修复
2015-06-15阅读量:8378

不良修复体拆除
2015-10-29阅读量:3052

共4评论最早评论
张文菲
空军军医大学口腔医学院
感谢分享~资料图片比较完善,试尖片和根充片都有。目前临床多采用纤维树脂桩核修复,在充分考虑剩余牙体组织抗力的前提下,要尽可能扩大桩核的粘结面积
2016-06-12 22:31
刘潇潇
北京丰台医院
不错的病例,期待患者复诊的结果,不良修复体的拆除是一个关键,需要拆除后的修复,患者有瘘管,是不是应该根管治疗后看结果再做决定
2016-06-13 15:39
赵振彦
空军军医大学口腔医学院
两周后复诊瘘管怎么样,一般做永久修复时需不需要等瘘管完全消失后呢~
2016-06-13 19:06
孙逸然
空军军医大学口腔医学院
瘘管还没有完全消除,个人觉得待没有其他症状之后再行桩冠修复效果会更好一些。
2016-06-13 19:32
没有更多数据了