打开应用

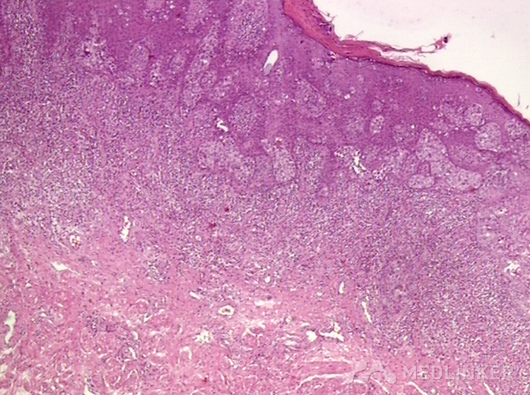
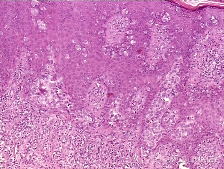
乳房外paget病

孙医师   中国人民解放军第四七四医院
乳房外佩吉特病
长期治疗不好的阴囊湿疹要警惕恶性肿瘤的可能! 最近遇到一个阴囊湿疹的患者,50岁了,得了阴囊湿疹五年了,去过很多家医院,用过很多种药膏,就是不见好转,医生把能用的方法都用遍了。甚至用了冷冻的方法把局部瘙痒增厚的皮肤给冻掉了一层,结果没几天又复发了!

后来我建议他做了活检,病理结果显示【乳房外Paget病】!

乳房外Paget病是一种什么样的疾病呢?原来它还有一个名字,就叫湿疹样癌,长的就是很像湿疹,但是按照湿疹怎么样也治不好!所以各位医生,如果觉得有自己治疗不好的顽固性湿疹,可能不是咱水平不行,是因为这个病不是湿疹,所以照着湿疹治疗效果肯定不好了。 另外如果得了阴囊湿疹持续超过半年一直不好的话,建议去医院皮肤科做病理活检。因为炎症和肿瘤的区别就是炎症是可以消退的,可以好一段时间再犯,而肿瘤是始终存在的,通过外用药膏是无法治疗好的。大家记住这个重要的鉴别点好了,【肿瘤是会持续存在的,药膏是治疗不好的】。 这个病的治疗并不困难,需要排除远处转移的肿瘤,发现了扩大切除,预后都会不错的。

发布于 18-10-30 09:19

0 个评论

暂无评论
发送