下载或打开 医联APP 查看完整评论
立即下载
打开APP
打开应用
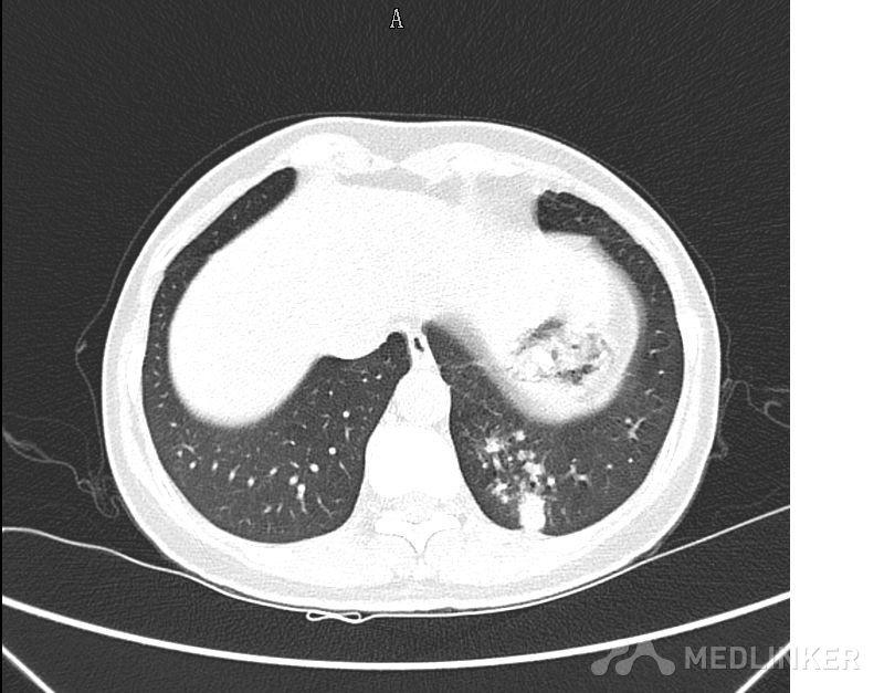
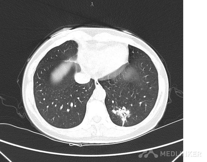
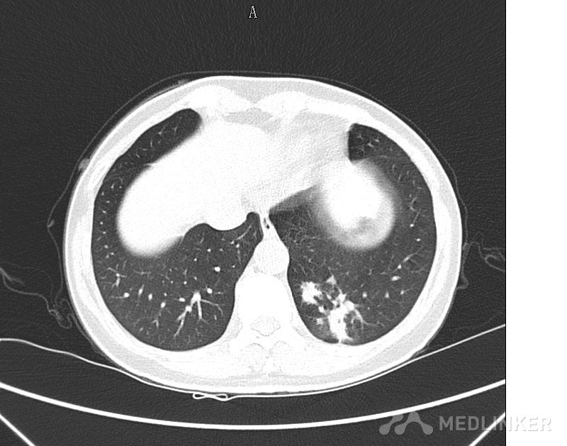
大家看看这个肺部的占位可能是什么?
吴医师
东南大学附属中大医院
肺部肿物
以CT图片为准,中年男性,反复咳嗽半个月入院,有低热,痰不多,无咯血,饮食睡眠正常。
发布于 18-06-11 19:14
打开医联APP阅读全文
医联推荐你看
大家看看这个是什么,痒又痛!?
大家看看这个是什么药?
大家看看这个胸部CT片子可能是什么病原菌?
共
1
个评论
查看更多评论
发送
0