下载或打开 医联APP 查看完整评论
立即下载
打开APP
打开应用
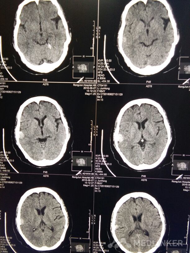
右颞叶脑膜瘤
魏医师
河北省荣军医院
所见:右颞叶可见一卵圆形稍高密度影,大小约1.2x1.9cm,边缘可见钙化,周围无明显水肿,余脑实质密度正常,脑室系统及脑沟,裂未见明显异常中线结构居中。 提示:右颞叶脑膜瘤。
发布于 17-05-23 09:21
打开医联APP阅读全文
医联推荐你看
脑膜瘤??
脑膜瘤?
脑膜瘤的瘤周水肿
共
4
个评论
查看更多评论
发送
0