下载或打开 医联APP 查看完整评论
立即下载
打开APP
打开应用
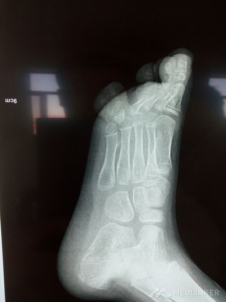
小儿多趾畸形一例
郭医师
绥化市第一医院
先天性足畸形
发布于 17-04-22 21:34
打开医联APP阅读全文
医联推荐你看
多趾畸形
肺血管畸形一例
chiari畸形鉴别:
共
5
个评论
查看更多评论
发送
0