下载或打开 医联APP 查看完整评论
立即下载
打开APP
打开应用
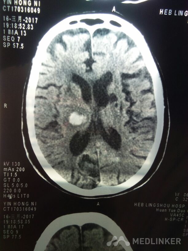
丘脑出血
高医师
灵寿县医院
单神经病
发布于 17-04-12 06:52
打开医联APP阅读全文
医联推荐你看
左侧丘脑出血
丘脑出血
脑出血
共
5
个评论
查看更多评论
发送
0