下载或打开 医联APP 查看完整评论
立即下载
打开APP
打开应用
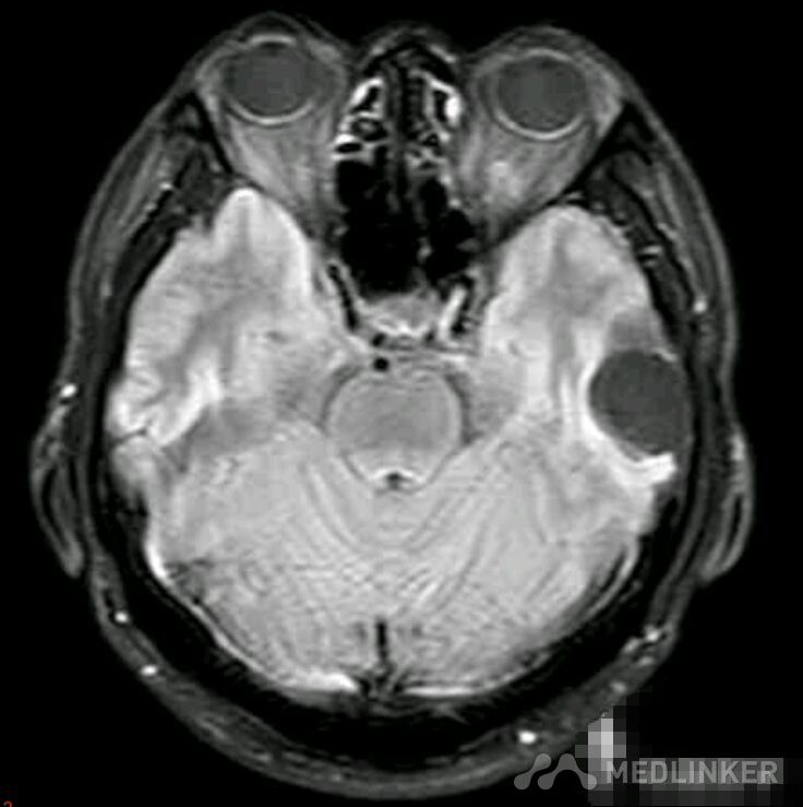
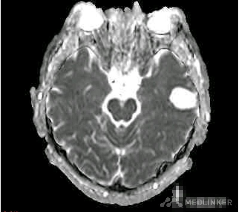
脑囊虫病高清影像资料分享
宋医师
张家口市轻工业局职工医院
脑囊虫病经典资料
发布于 17-02-01 13:26
打开医联APP阅读全文
医联推荐你看
脑囊虫误诊
脑囊虫病的确诊方法靠什么??
侧脑室囊虫病的由来?
共
2
个评论
查看更多评论
发送
0