下载或打开 医联APP 查看完整评论
立即下载
打开APP
打开应用
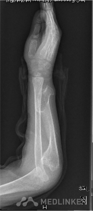
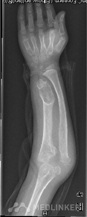
先天性骨软骨瘤病伴桡骨头脱位
臧医师
四川大学华西医院
桡骨头脱位
大家讨论一下这个小孩的矫形方法!
发布于 16-05-26 23:22
打开医联APP阅读全文
医联推荐你看
骨折伴脱位
滑膜骨软骨瘤
问骨科医生,先天性髋关节脱位怎样确诊?
共
9
个评论
查看更多评论
发送
0