下载或打开 医联APP 查看完整评论
立即下载
打开APP
打开应用
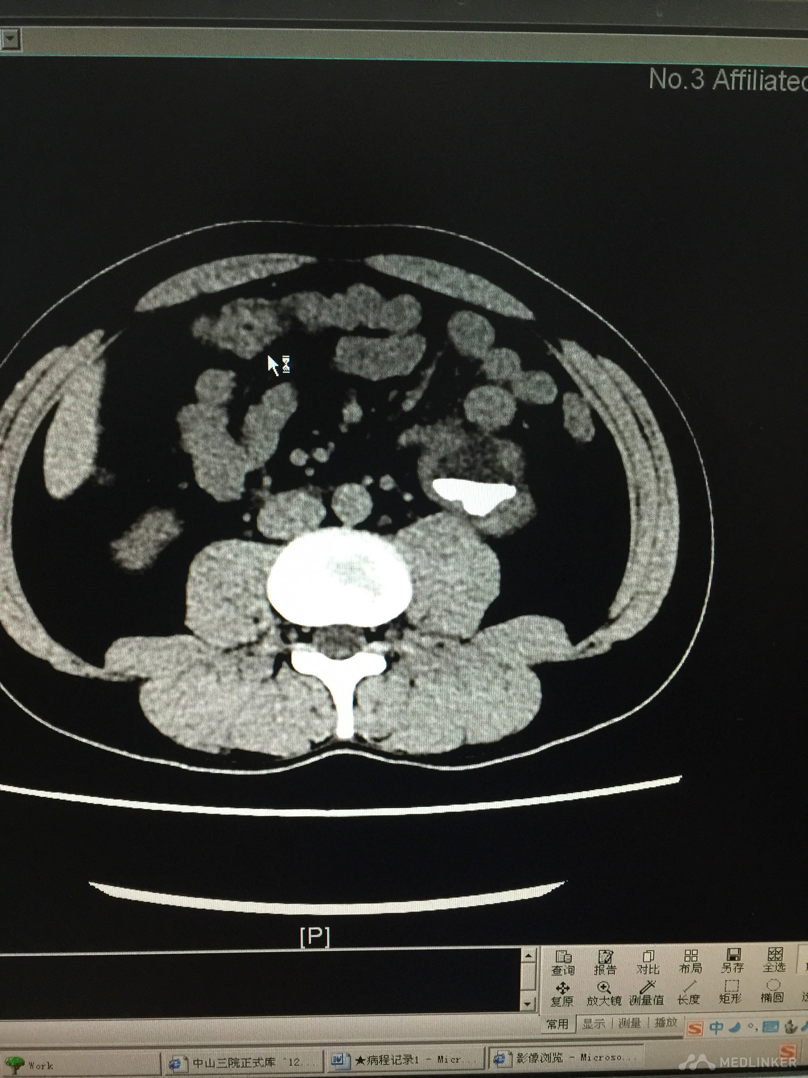
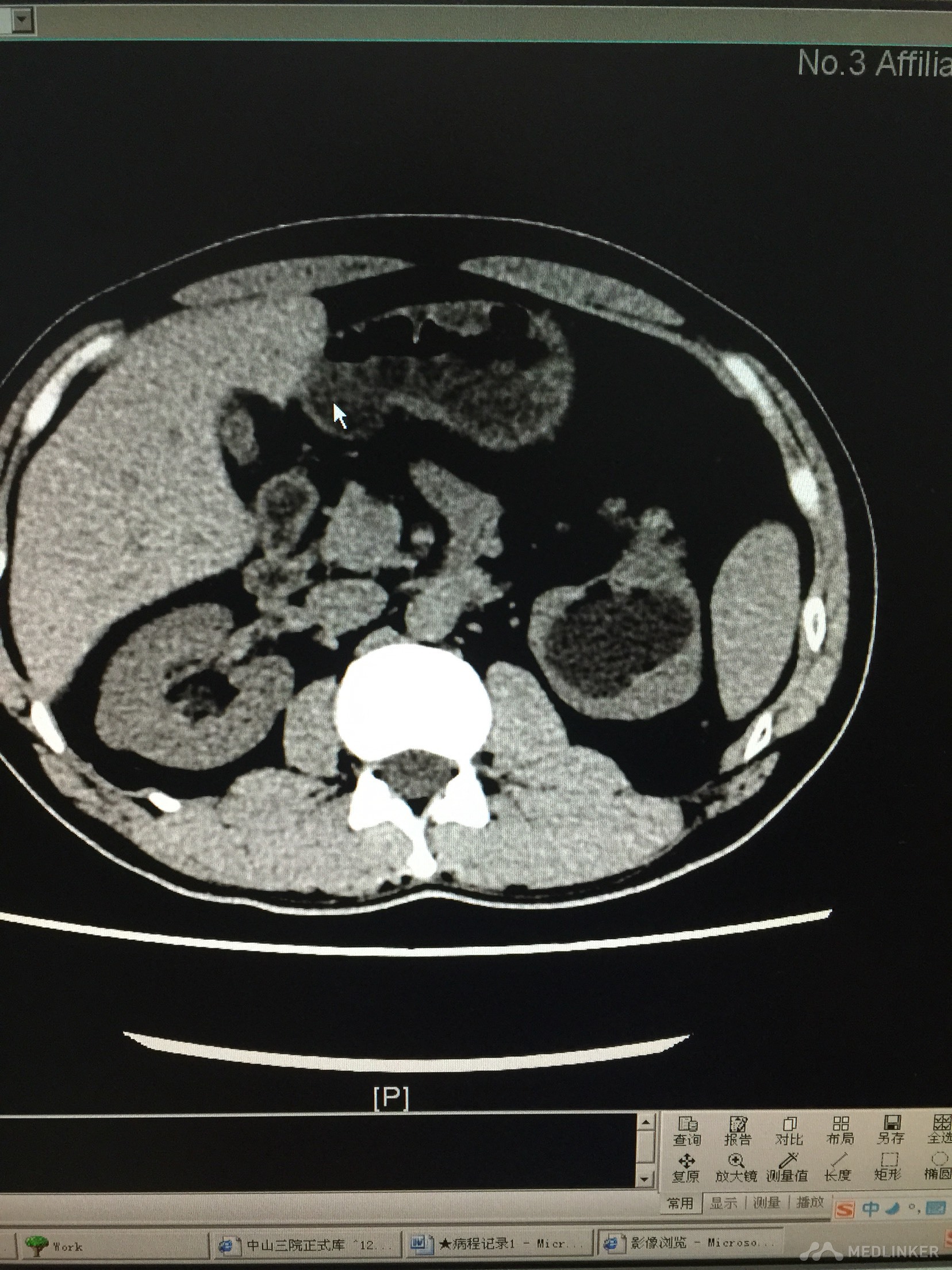
肾结石合并肾积水?
罗医师
中山大学附属第三医院
肾结石
患者体检发现肾结石,但此时已经严重肾脏积水,患者诉并没有任何不适。为什么肾脏损害如此严重,症状却没有呢?
发布于 16-05-14 20:42
打开医联APP阅读全文
医联推荐你看
肾积水
肾积水
肾积水的定义?????
共
2
个评论
查看更多评论
发送
0