打开应用

请教各位老师,关于这个肾出血病人的CT片。?

夏医师   福鼎市医院
胸痛 头晕 肾出血
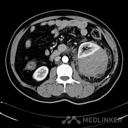
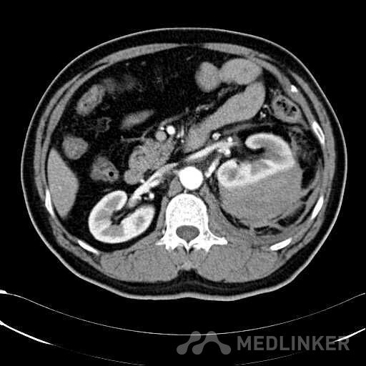
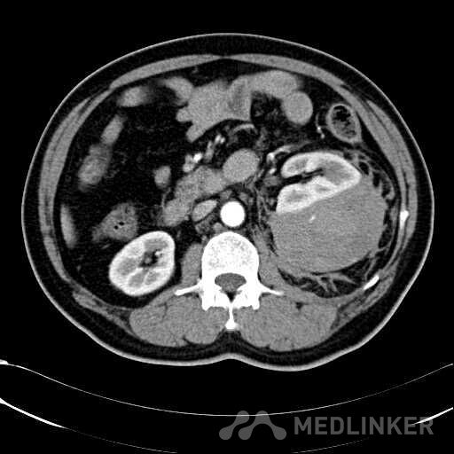
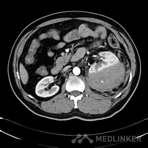
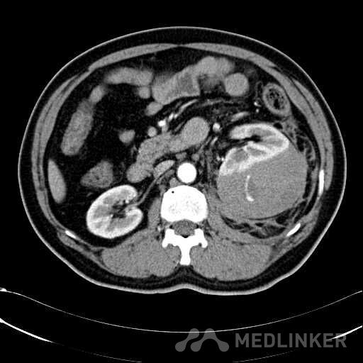
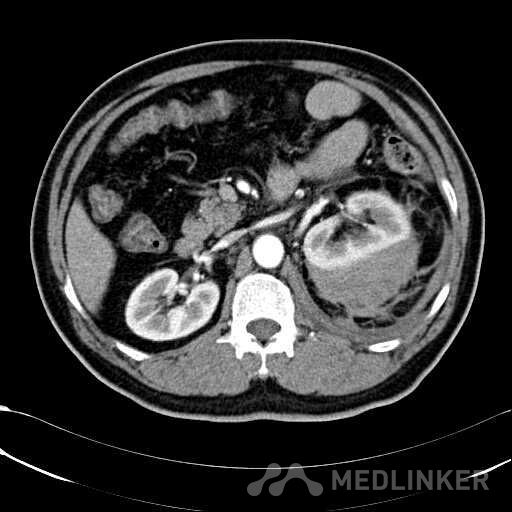
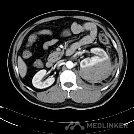
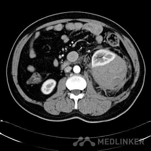
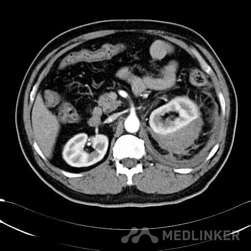
患者是54岁男性 主 诉: 突发左腰部疼痛3小时。 现病史: 缘于入院前3小时患者无明显诱因出现左腰部剧烈疼痛,无向他处放射,与活动及体位无明显关系,伴有腹胀、恶心、呕吐,无头痛、头晕,无人事不省、口吐白沫,无胸闷、胸痛、咯血,无发热、畏冷、寒战,大小便未解,肛门无停止排气,遂就诊我院,查“泌尿系彩超:左肾实质及不均质回声区,范围约9.4*4.1cm,界不清,内未见明显血流信号”,为进一步治疗,门诊拟“左肾占位”收住入院,发病以来,患者精神欠佳,未进食,大小便如前述,体重无明显改变。 患有“高血压病”7年,规则服药治疗(具体不详),监测血压情况不详。 T: 36.5 ℃ P: 65 次/分 R: 20 次/分 BP: 154/94 mmHg 双肾区皮肤无红肿、破溃及隆起,双肾肋下均不能被触及,左侧肾区叩击痛明显,右侧肾区无叩击痛,双侧肾区未闻及血管杂音。膀胱区无隆起,无压痛,耻骨上膀胱区叩诊空虚。外生殖器发育正常。 2016-04-12 泌尿系彩超:左肾实质及不均质回声区,范围约9.4*4.1cm,界不清,内未见明显血流信号。 04-12血常规:血红蛋白 151 g/L,白细胞 16.80 10^9/L,中性粒细胞百分比 84.90 %。急诊生化:白蛋白 39.8 g/L,葡萄糖 9.46 mmol/L。

发布于 16-05-06 12:48

2 个评论

发送