打开应用

性欲旺盛竟是额叶痴呆所致

孙医师   海宁市人民医院
额颞叶痴呆 痴呆 脑萎缩
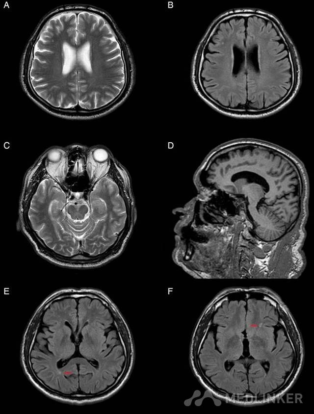
本文附有选择题,题目为:额叶痴呆的症状包括? 异常性行为怎么会与痴呆有关呢?近日BMJ Case Reports杂志就刊登了如下一则病例报道,介绍了一例因额叶痴呆导致性行为异常的病例,一起来学习下吧。 患者男性,55岁,职业教师,由其妻子带来精神病门诊就诊。检查期间,未表现出任何症状,并对自己的情况不甚了解。根据其妻子描述,患者近来使用社交网络如Facebook等的时间增加,并与不认识的女性通宵达旦地聊天。此间,患者对其妻子的性生活要求次数增加,并开始看色情类视频。 此前患者夫妻性生活频率是每周一至两次,现在患者出现频繁手淫,不管其妻子或其他任何人是否看到。其妻子发现这些情况与他的年龄不符并感到奇怪,故来就诊。患者及其妻子否认出现任何认知功能下降情况,且之前未有过精神病史。患者曾被诊断为阻塞性睡眠呼吸暂停综合征,并建议行连续气道正压治疗,但是患者并未接受该治疗。 目前考虑的鉴别诊断包括:双相情感障碍、精神分裂症、器质性精神病和老年痴呆症。完善精神科相关检查后,行头颅磁共振成像和量化脑电图(EEG)检查。脑MRI显示局灶性皮质萎缩和多胶质增生灶(图1);脑电图未发现阵发性活动(图2);MMSE评分为28/30;额叶行为检查(FBI)得分33(临界值为27)。 患者开始口服利培酮1.5mg/天、多奈哌齐10mg/天。随访期间,其去抑制症状次数减少,为防止其妻子崩溃,我们对其还进行了进一步的心理教育。3年后,患者FBI得分下降到了4分,MMSE评分下降到了27。 性欲亢进和异常性行为(ISB)可见于痴呆综合征患者,尤其是那些额颞叶痴呆(FTD)患者。性欲亢进和ISB并不伴有认知功能障碍可能 FTD出现的第一个征象,因此在表现为去抑制症状的患者中,需要评估脑MRI以排除FTD的鉴别诊断。 学习要点: 性欲亢进和异常性行为(ISB)可能是早期额叶痴呆的首发症状; MRI上出现额叶皮质脑萎缩对诊断有重要意义; ISB可服用利培酮和奥氮平联合治疗进行控制。 附图: 图1.(A,B 和 D)脑 MRI 显示双侧额叶萎缩。(C)颞叶是正常的。(E、F)部分额叶和枕叶胶质增生(红色箭头)。 图2. 定量脑电图中未见阵发性活动。

0 人已投票
  • 过度口述
  • 性欲亢进和异常性行为
  • 忽视个人卫生
  • 以上均正确
发布于 16-01-27 14:24

0 个评论

暂无评论
发送