打开应用

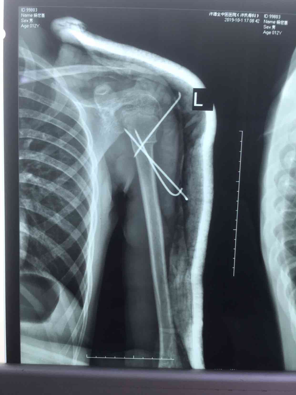
儿童肱骨外科颈骨折(闭合复位固定)

高医师   许德全中医医院
骨折 肱骨外科颈骨折

主诉 病史

摔伤后左肩部肿痛,活动受限1小时入院。既往身体健康,无特殊不良嗜好。

查体 辅查

生命体征平稳,心肺复未见异常。左肩部肿胀明显,局部皮色皮温正常,压痛及纵向叩击痛阳性,肩关节活动受限,末梢血运感觉正常。

诊断 处理

在臂丛麻醉下行闭合复位内固定术,术后过肩石膏托固定,抗炎,消肿等处理。

发布于 19-10-03 10:03

6 个评论

发送