打开应用

尺骨鹰嘴骨折(切复内固定术)

高医师   许德全中医医院
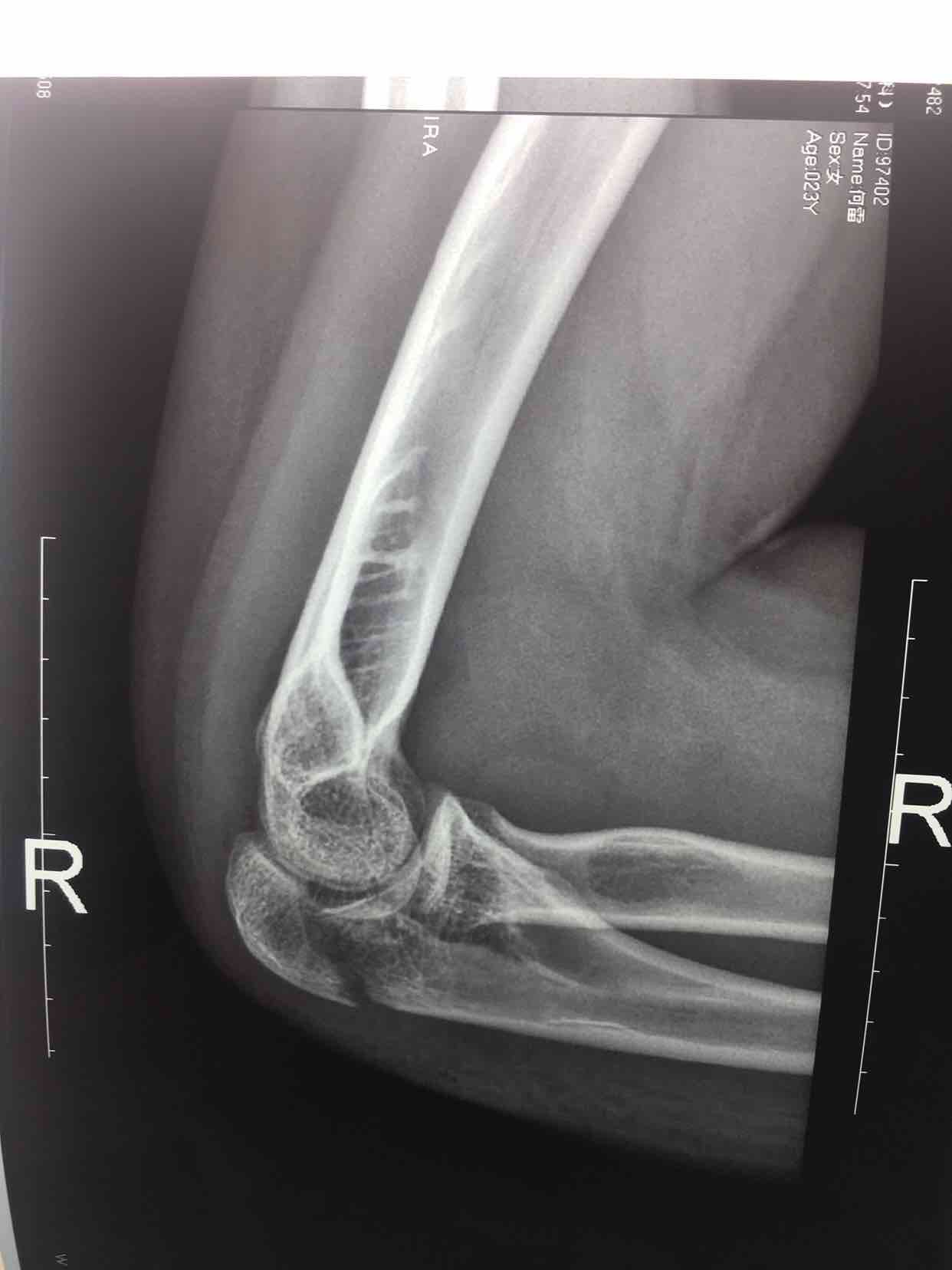
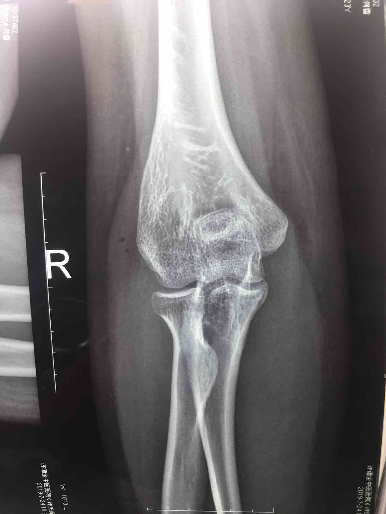
骨折 鹰嘴骨折

主诉 病史

摔伤后右肘部肿痛,活动受限1小时入院。既往身体健康,无特殊不良嗜好。

查体 辅查

生命体征平稳,心肺复未见异常。右肘部肿胀明显,局部皮色皮温正常,压痛明显,可及骨檫音,末梢血运感觉正常。

诊断 处理

诊断右尺骨鹰嘴骨折在臂丛麻醉下行切复内固定术,术后抗炎,消肿等处理。

发布于 19-07-26 13:48

8 个评论

发送